-
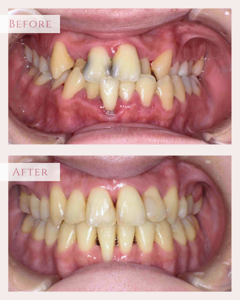
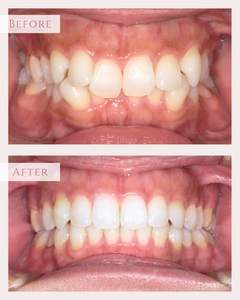
ワイヤー矯正
歯のデコボコが気になる。前歯で咬み切れない。
治療方針 ・歯のデコボコが気になる・前歯で咬み切れない・気づくと口を開けている・…
詳しくみる

ワイヤー矯正
治療方針 ・歯のデコボコが気になる・前歯で咬み切れない・気づくと口を開けている・…
詳しくみる
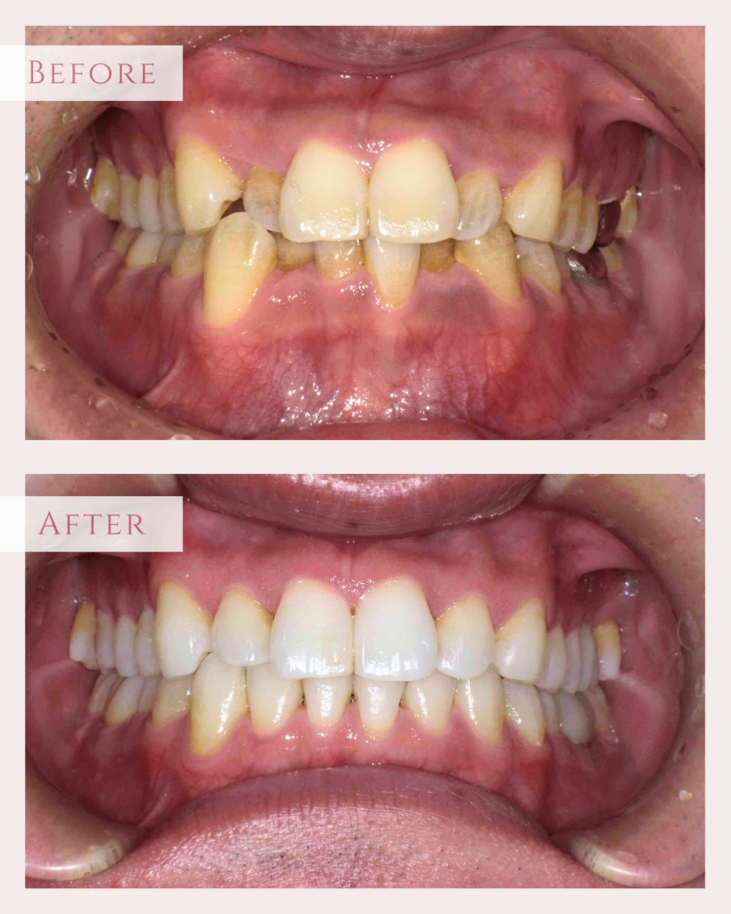
マウスピース矯正
治療方針 元々咬む筋力や食いしばり・歯ぎしりが非常に強く、『フレアーアウト』(前…
詳しくみる
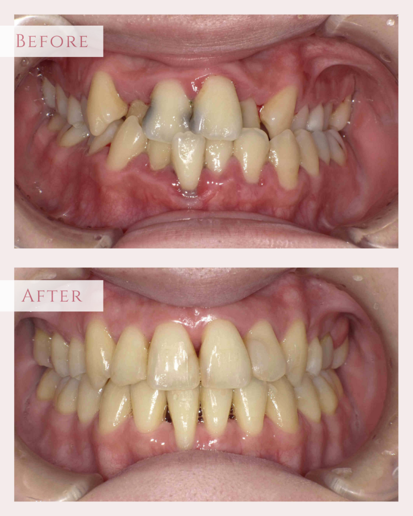
ワイヤー矯正
12歳6ヶ月〜スタートです。 やや出っ歯傾向で、噛み合わせが深く歯並びがデコボコ…
詳しくみる
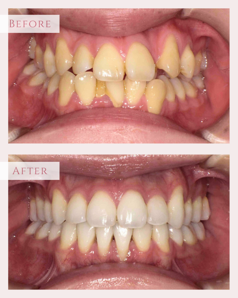
マウスピース矯正
上下共に歯の大きさがやや大きく、それに対し歯並びの幅がやや小さいため不調和があり…
詳しくみる
ワイヤー矯正
歯槽骨(歯を支えている骨)が狭く、デコボコや交叉咬合(部分的に下の歯が前に出てい…
詳しくみる
マウスピース矯正
治療方針 ・歯並びのデコボコが気になる。・歯を抜かずにマウスピース矯正をしたい …
詳しくみる
ワイヤー矯正
治療方針 上下の前歯のスペース不足と「開口(かいこう)/オープンバイト」の改善に…
詳しくみる
マウスピース矯正
治療内容 左上6番目の歯根に亀裂があり、初診にご来院の段階で歯を残すことが難しい…
詳しくみる
ワイヤー矯正
治療方針 歯の大きさと歯列の大きさの不調和による、出っ歯と叢生(歯のデコボコ)を…
詳しくみる
マウスピース矯正
治療方針 上下共にスペースが少ないため抜歯を伴うケースも多いですが、当院では非抜…
詳しくみる