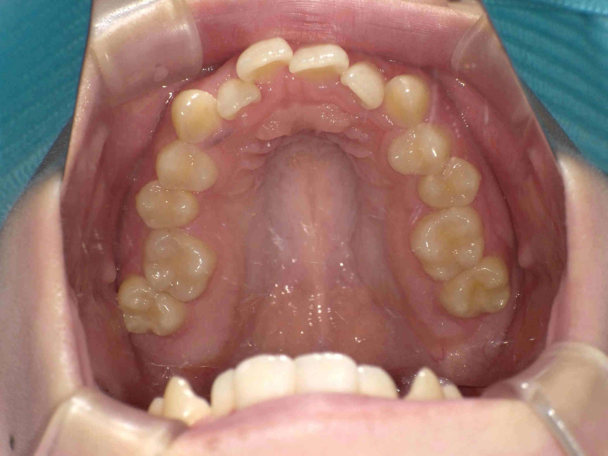
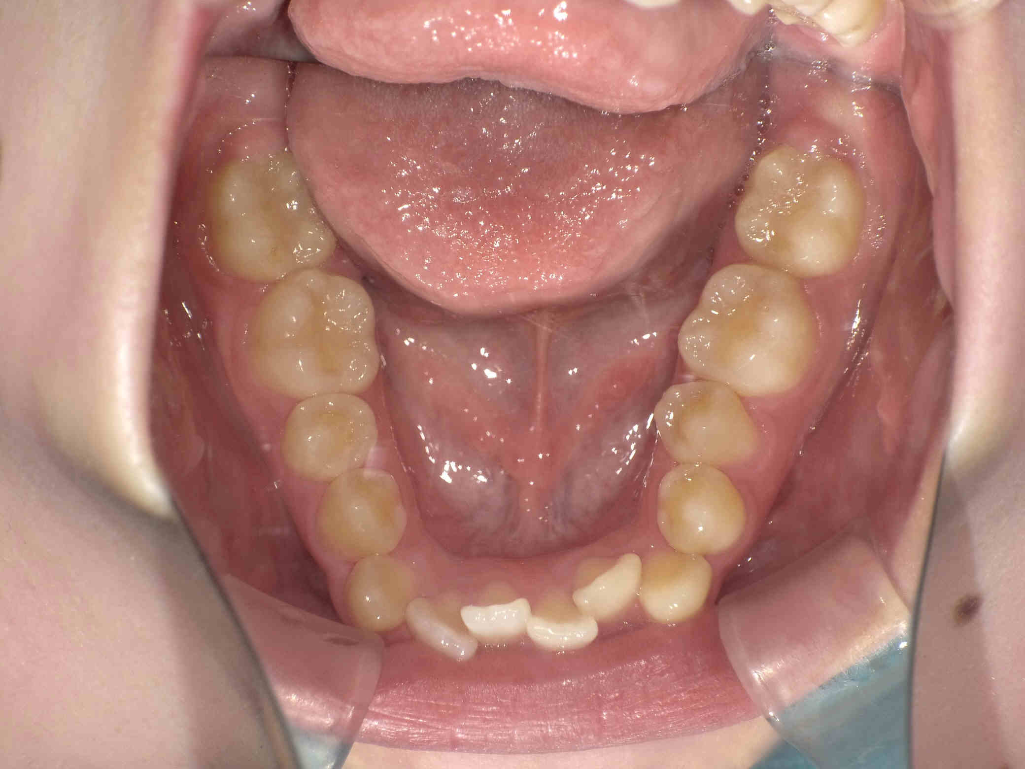
治療方針
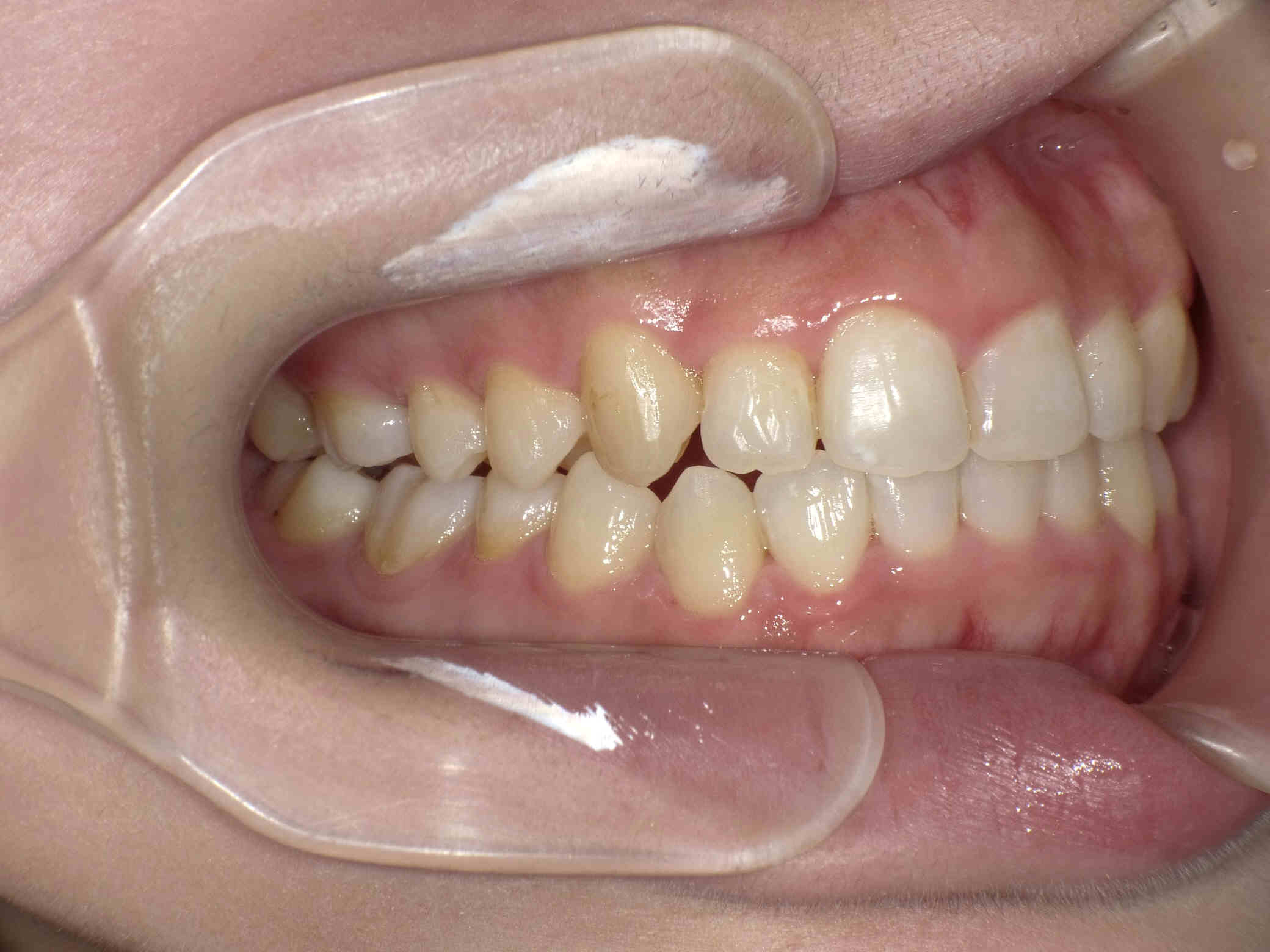
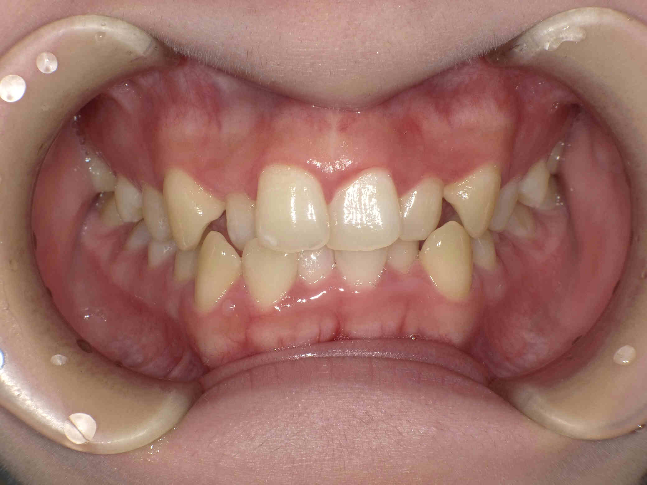
・歯並びのデコボコが気になる。
・歯を抜かずにマウスピース矯正をしたい
というご希望でした。
初めにお口全体のデータを採取し、日本矯正歯科学会認定医のもとで精密検査を行い、データ分析をします。
分析結果を詳しく説明させていただき、矯正スタートです。
ご希望の非抜歯でのマウスピース矯正を行い、
臼歯遠心移動と側方拡大、歯間のヤスリがけをし、
治療期間約2年を経て口腔内全体が綺麗になりました!
治療前
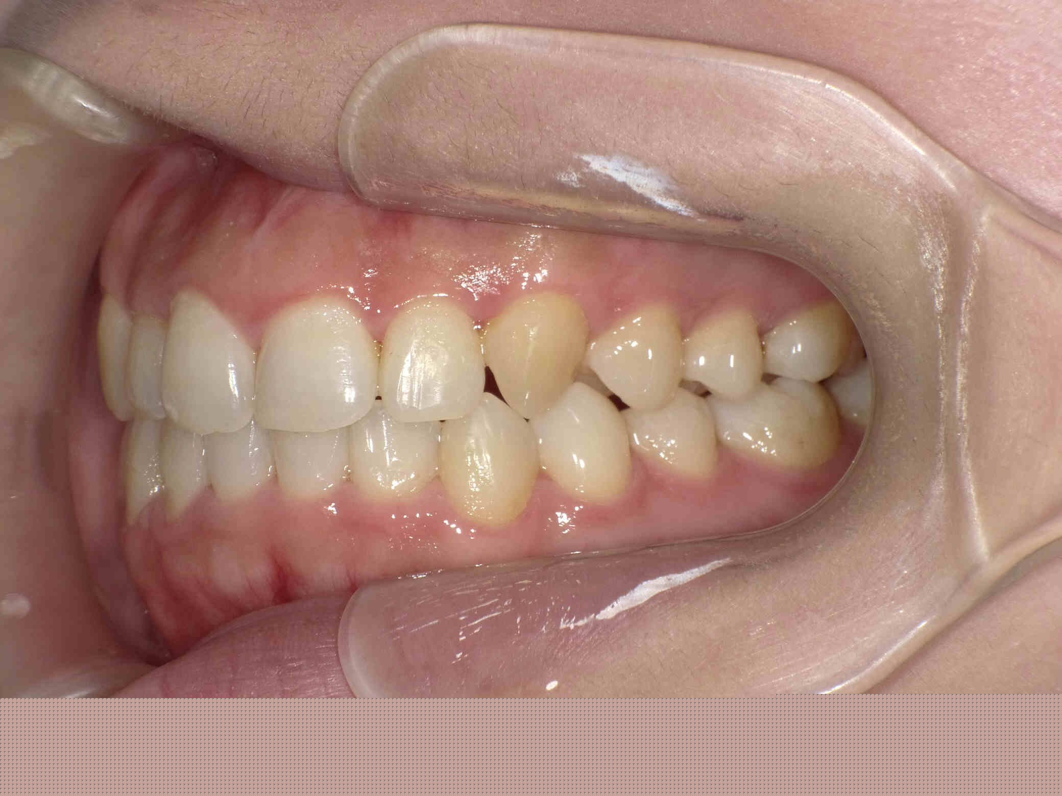
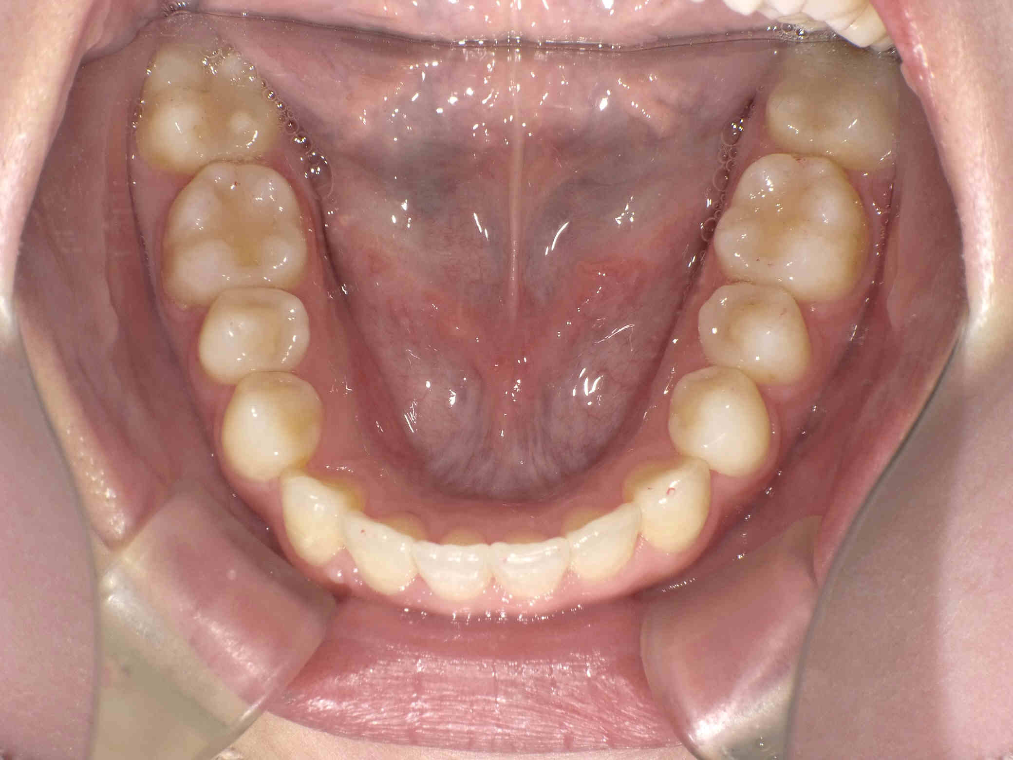
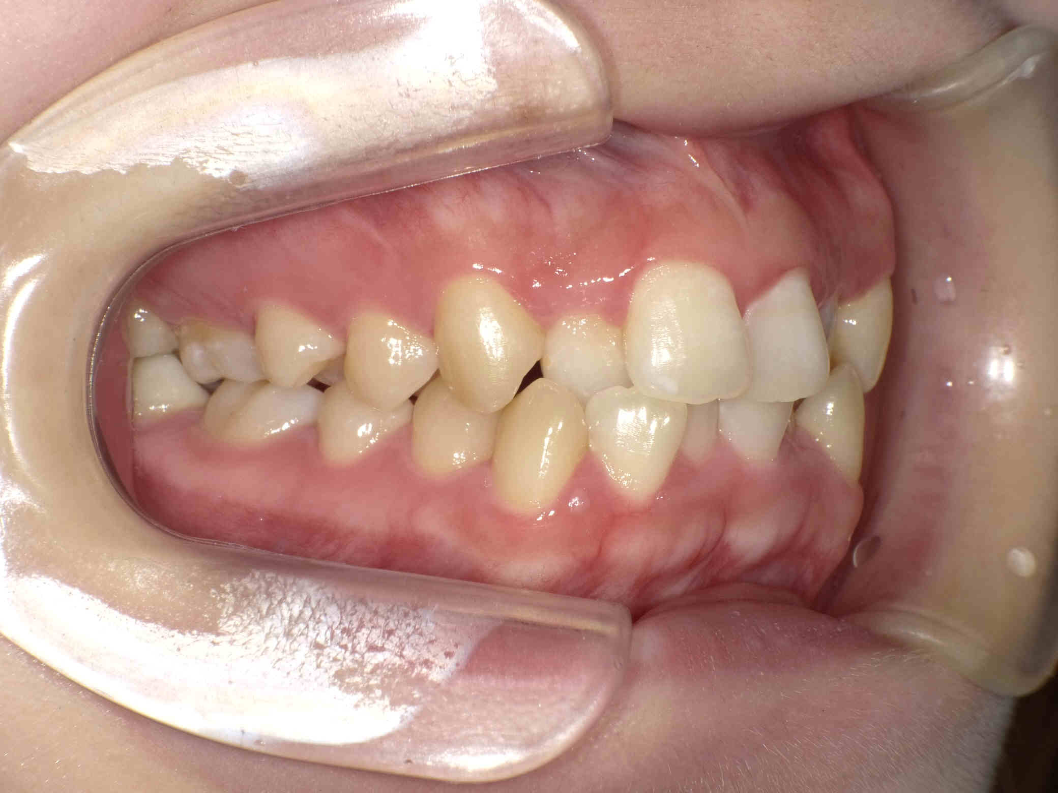
治療後
・歯並びのデコボコが気になる。
・歯を抜かずにマウスピース矯正をしたい
というご希望でした。
初めにお口全体のデータを採取し、日本矯正歯科学会認定医のもとで精密検査を行い、データ分析をします。
分析結果を詳しく説明させていただき、矯正スタートです。
ご希望の非抜歯でのマウスピース矯正を行い、
臼歯遠心移動と側方拡大、歯間のヤスリがけをし、
治療期間約2年を経て口腔内全体が綺麗になりました!
Date
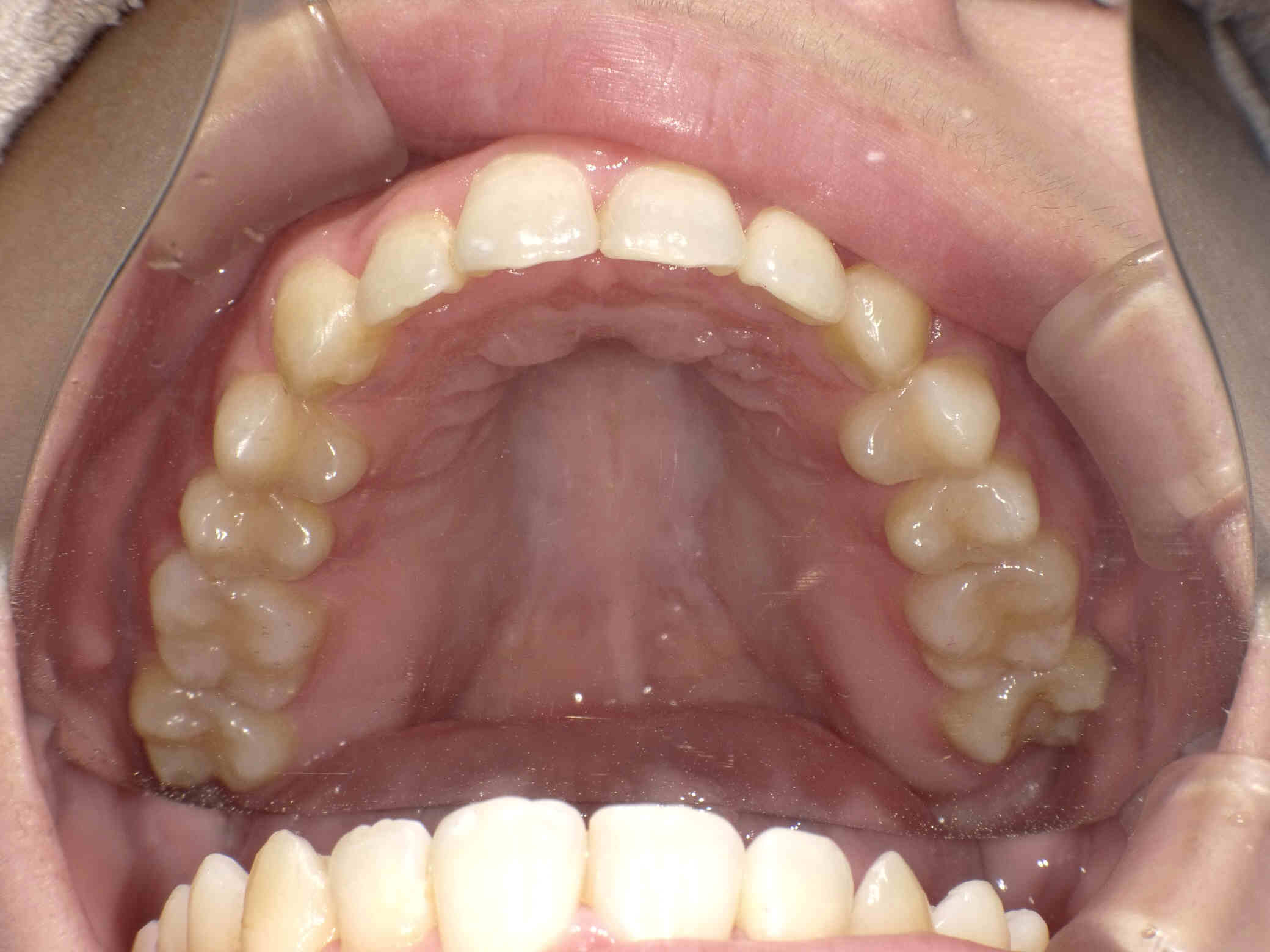
矯正治療のドクターコメント
非抜歯で臼歯のかみ合わせを改善すると同時に、前歯を美しく仕上げるため、歯と歯の間のやすりがけを入念に行いました。女性らしい適度な曲線と、歯の大きさを調整し、より美しいお口元に仕上がりました。