• ワイヤー矯正

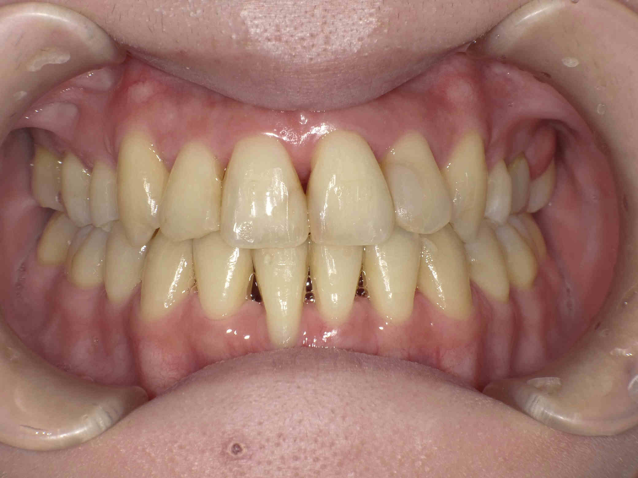
デコボコを治して口元を引っ込めたい。

デコボコを治して口元を引っ込めたい。
  • 治療前

    右矢印

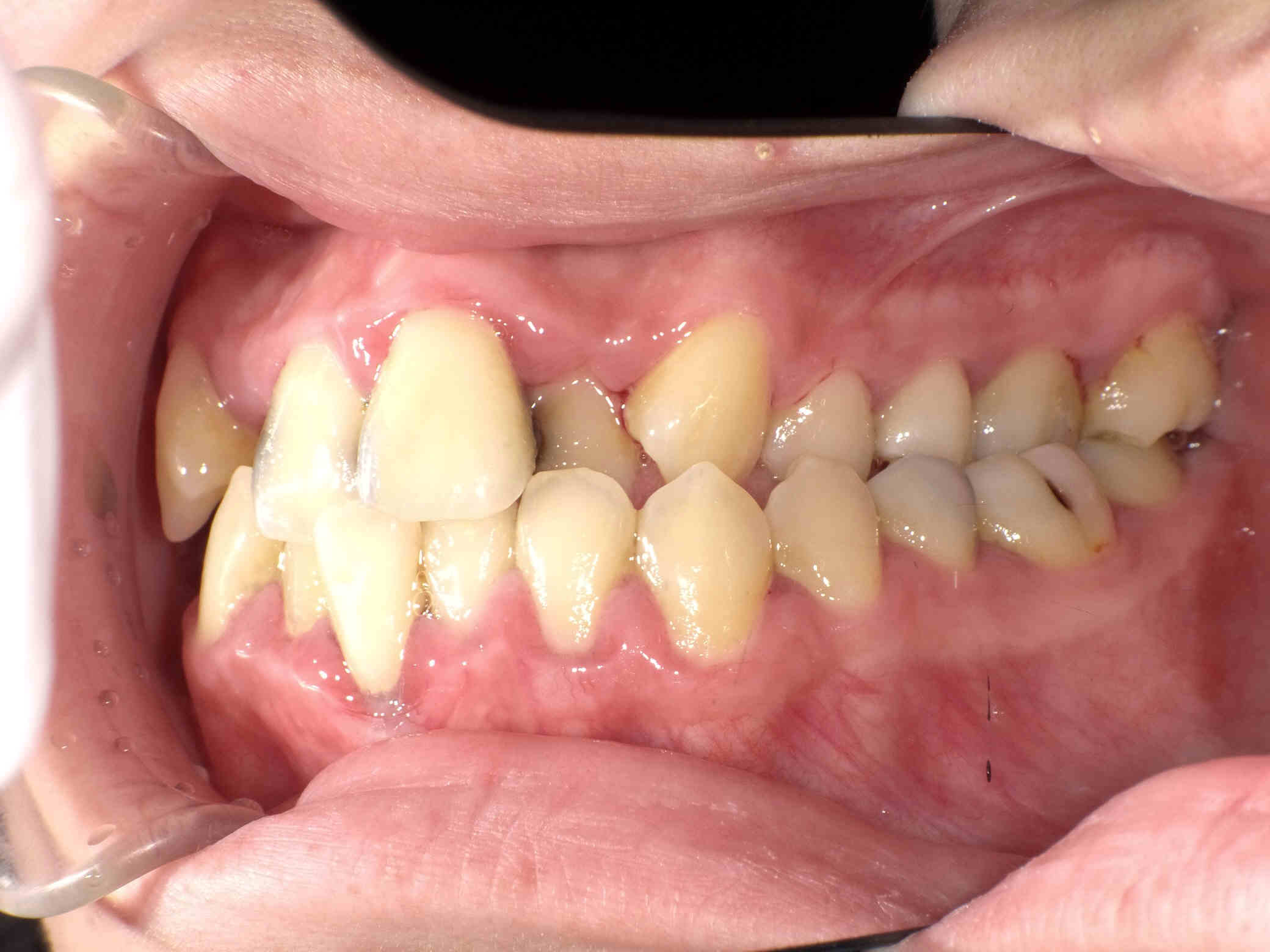
    治療後

  • 右矢印
  • 右矢印
  • 右矢印
  • 右矢印

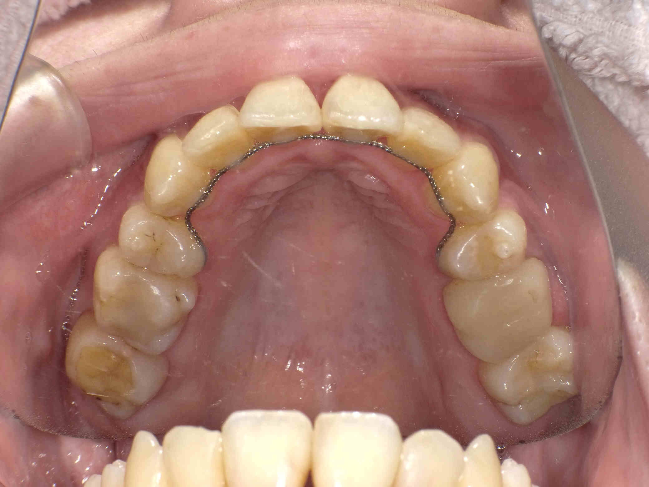
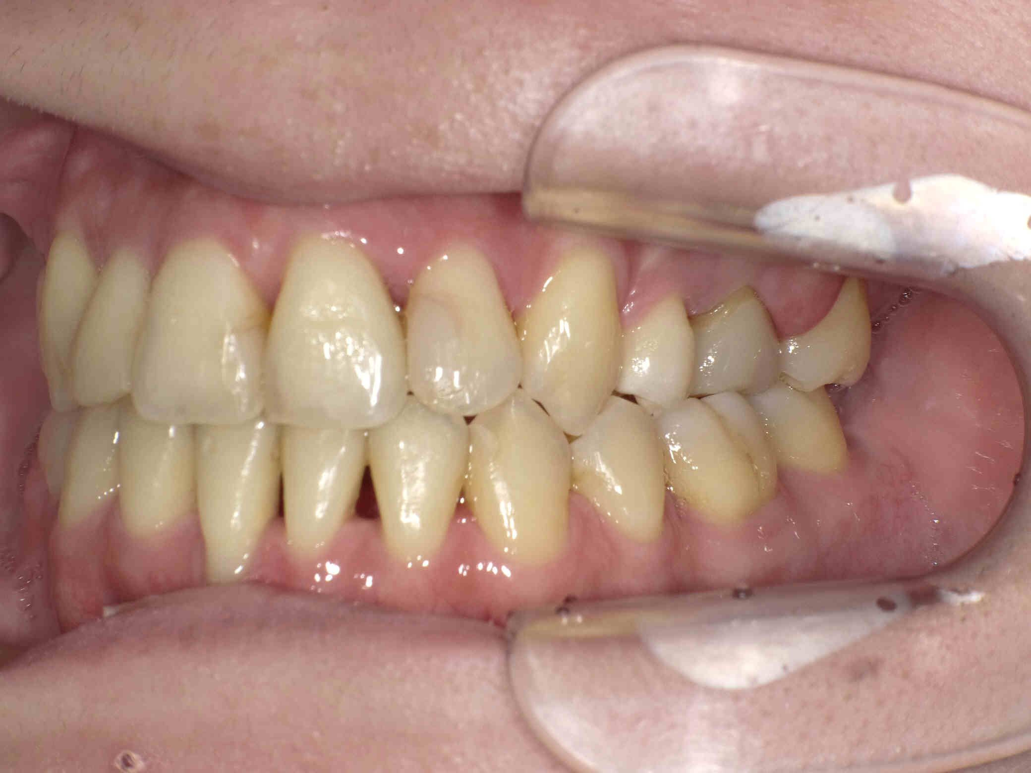
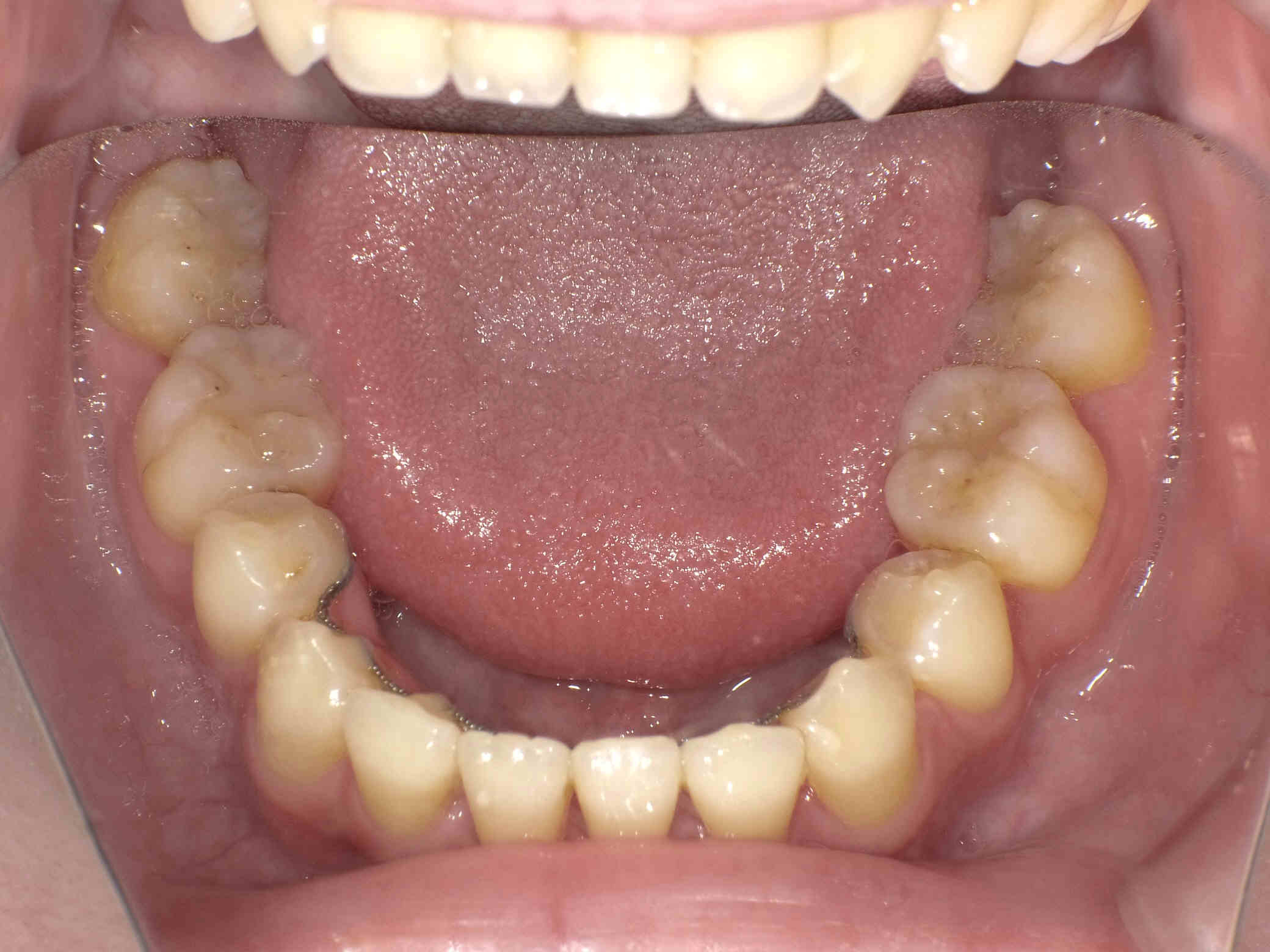
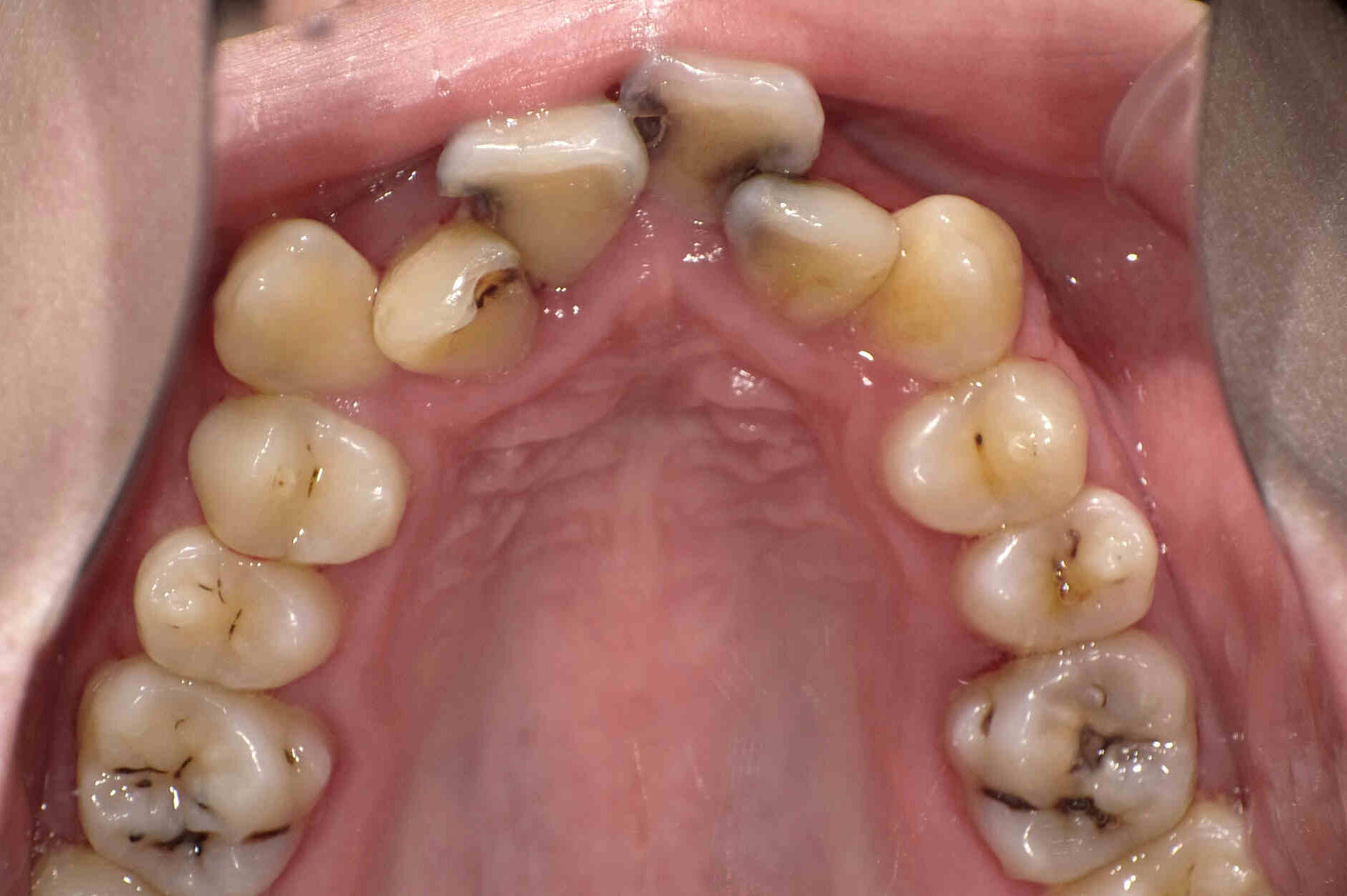
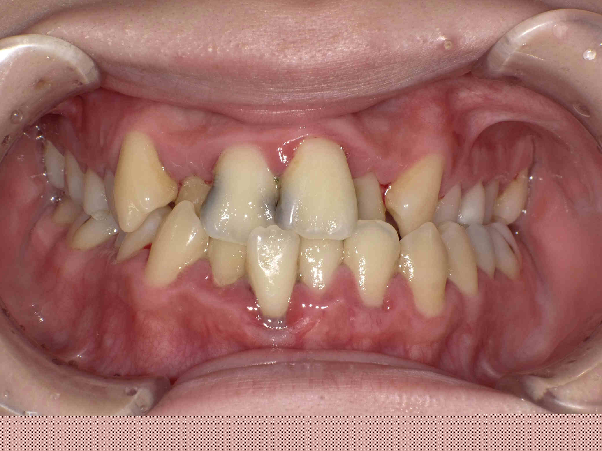
歯槽骨(歯を支えている骨)が狭く、デコボコや交叉咬合(部分的に下の歯が前に出ている)がありました。

上2本、下2本の計4本を抜いて、前歯のデコボコと口元を後方に下げることを提案させてもらいました。

初めにお口全体のデータを採取し、矯正医師のもとで精密検査を行い、データの分析をします。

分析結果を詳しく説明させていただき、矯正スタートです。

Date

患者様の性別
女性
年齢
20代
治療期間
2年11ヵ月
治療費用
610,500円(税込)、5,500円(税込)/月々調整料

矯正治療のドクターコメント

マウスピース矯正とワイヤー矯正の2通りを説明させていただき、今回はワイヤー矯正を選ばれました。前歯のデコボコの改善と臼歯の咬み合わせの改善、口元を後方に下げることで綺麗なEラインを確立できました!