• マウスピース矯正

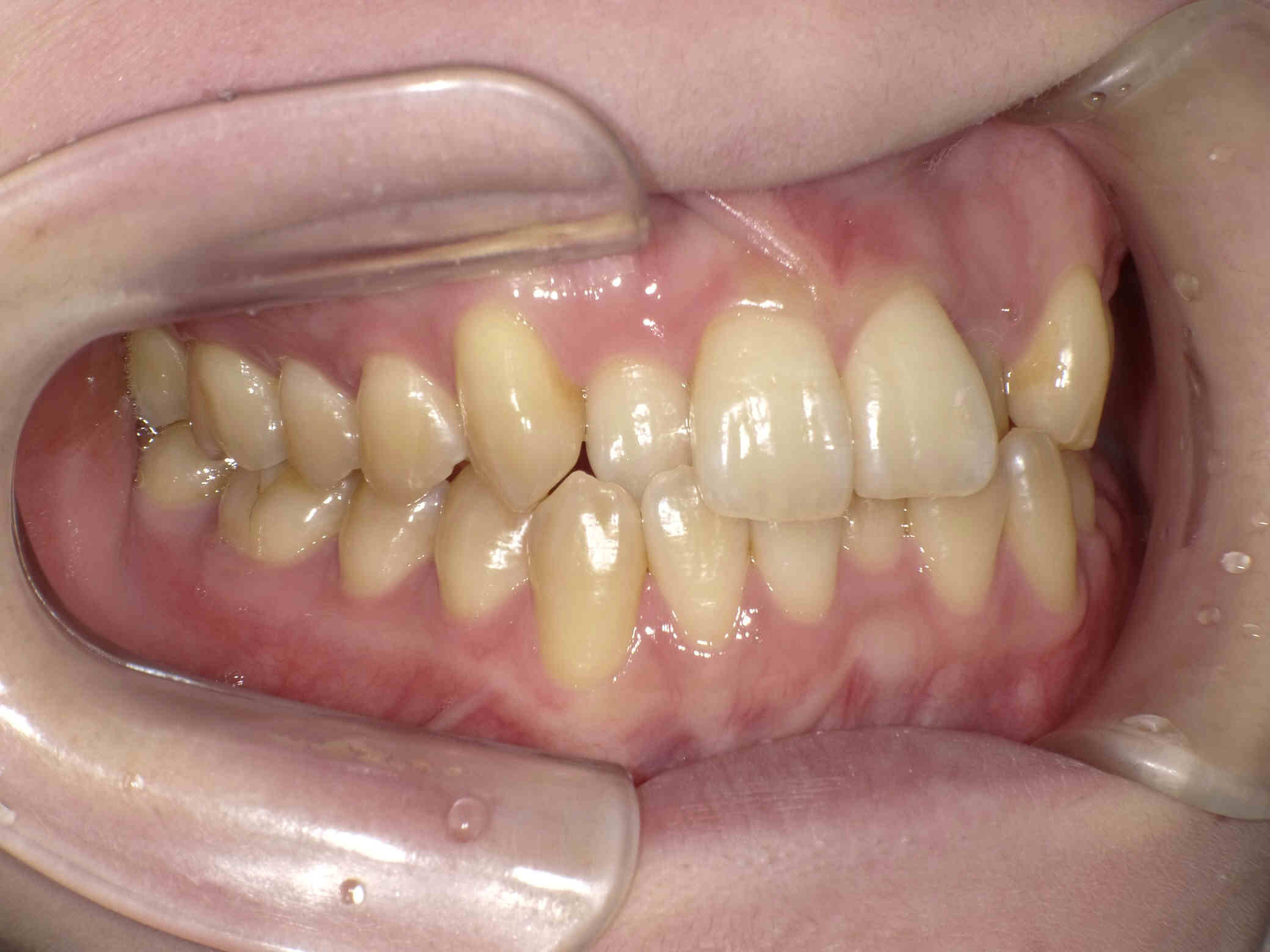
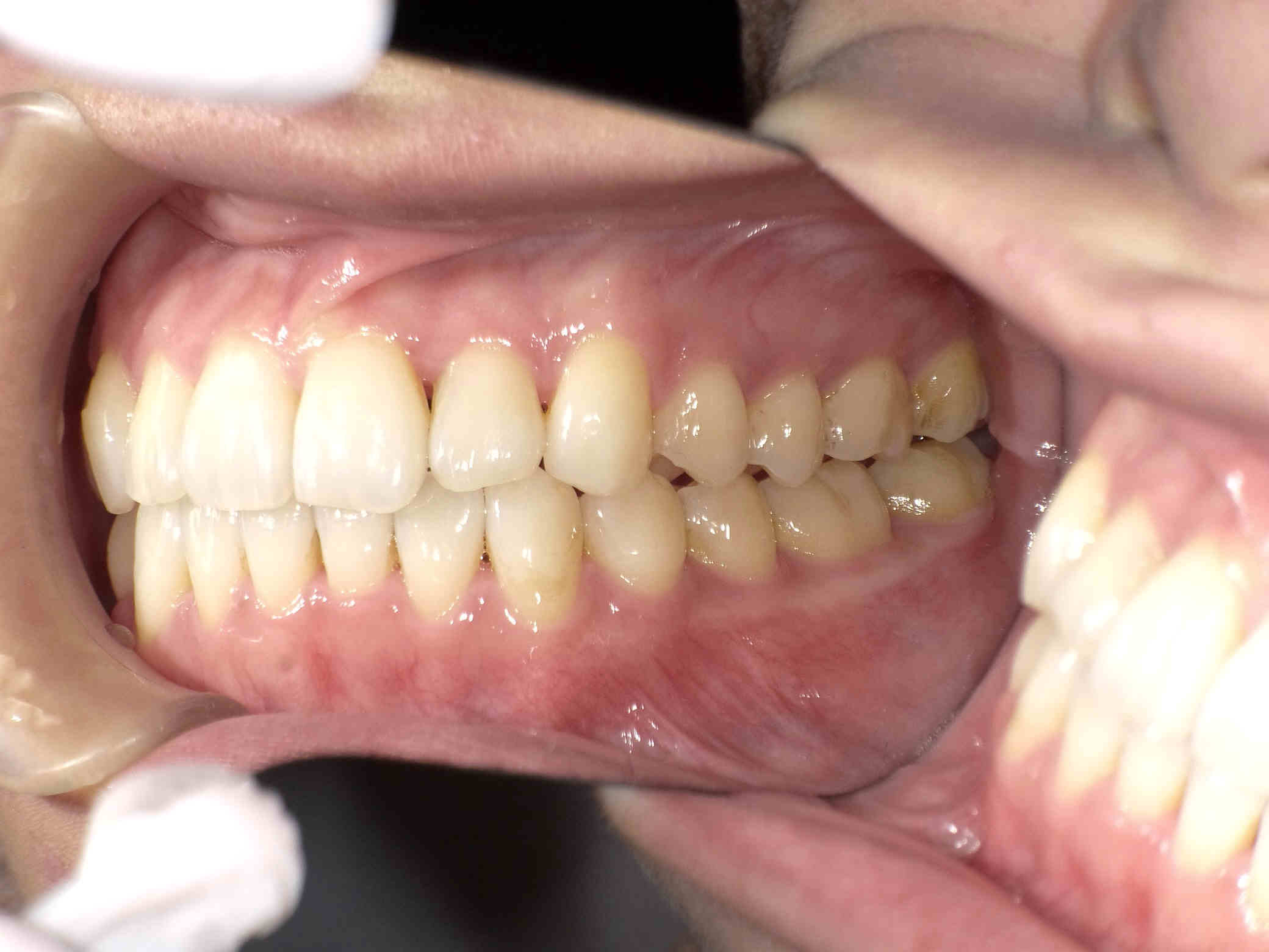
目立ちにくい矯正で、前歯のガタガタを治したい。

目立ちにくい矯正で、前歯のガタガタを治したい。
  • 治療前

    右矢印

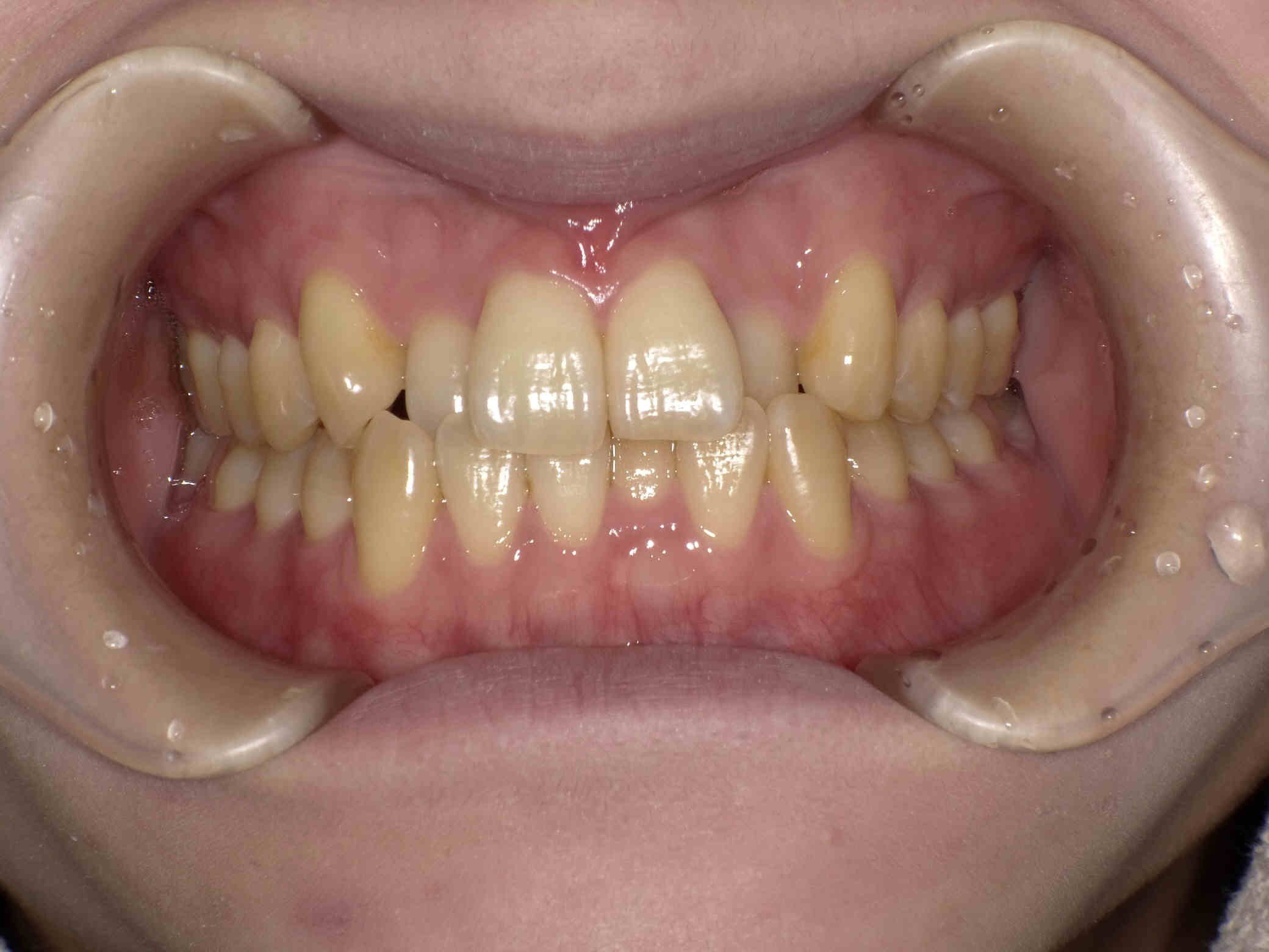
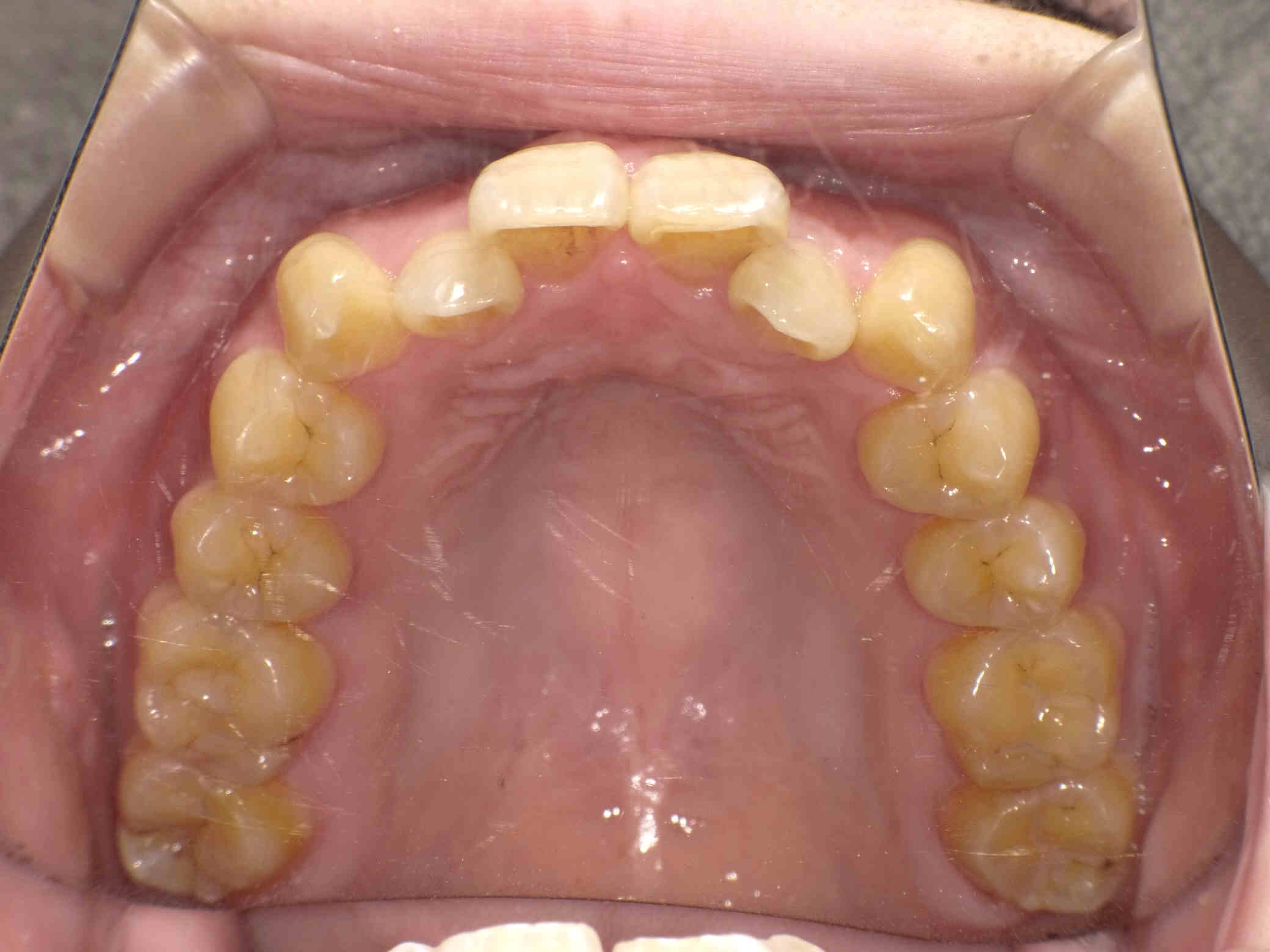
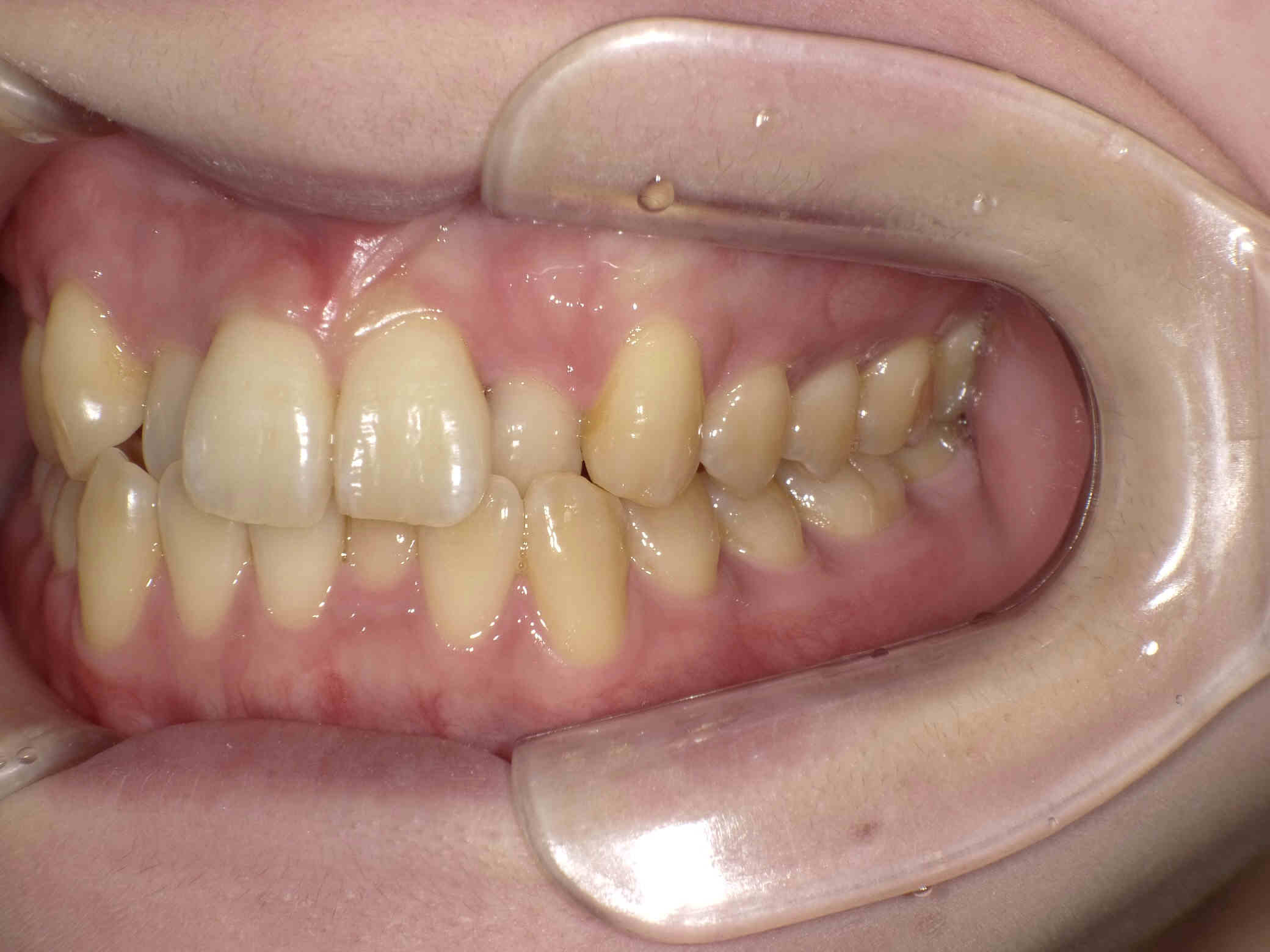
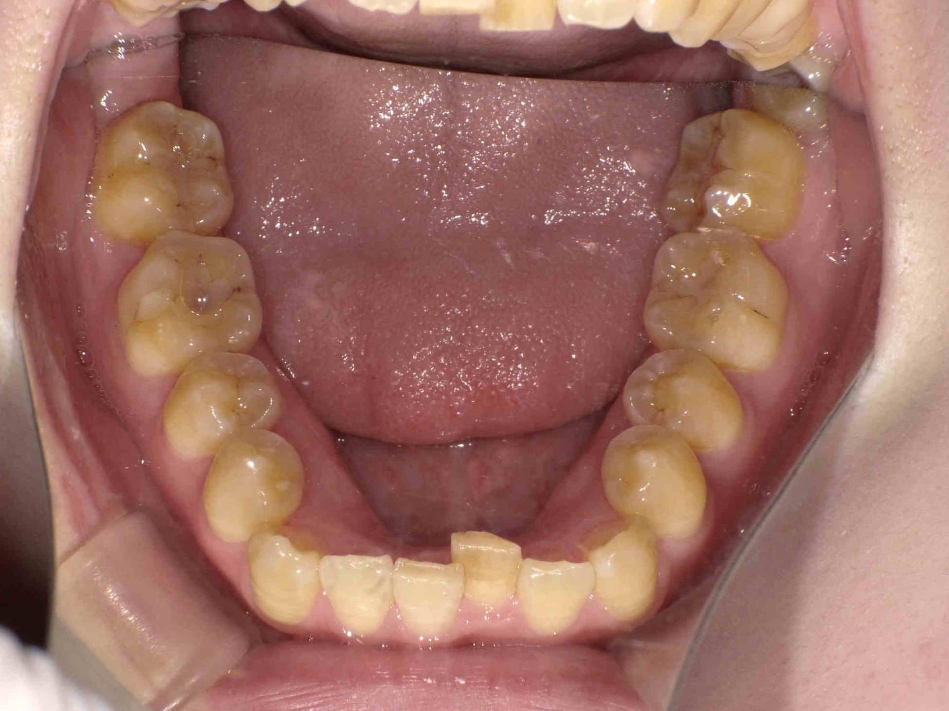
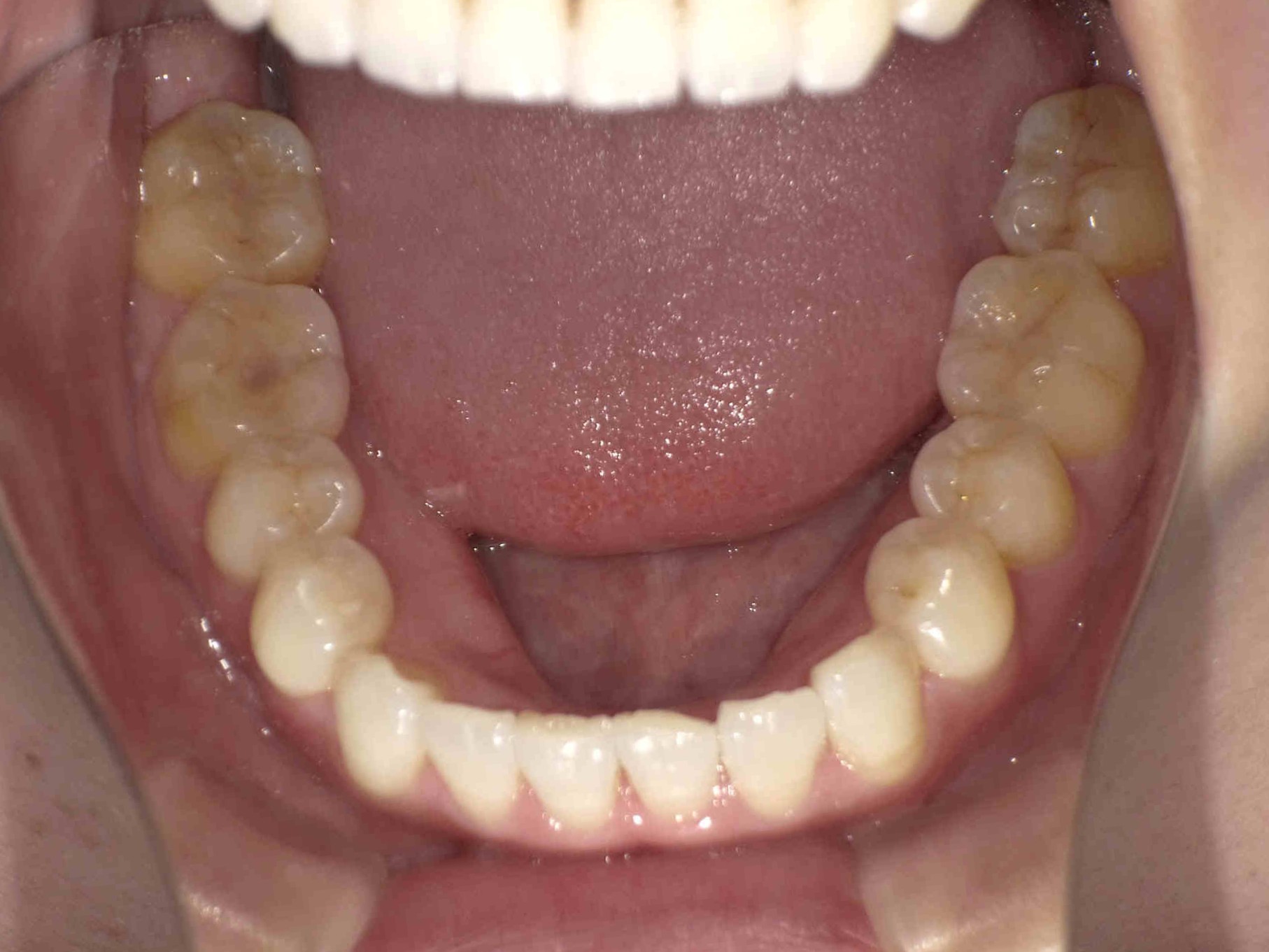
    治療後

  • 右矢印
  • 右矢印
  • 右矢印
  • 右矢印

上下共に歯の大きさがやや大きく、それに対し歯並びの幅がやや小さいため不調和がありガタガタに繋がっていました。

今回はキレイな横顔やEラインのバランスも含めて、精密検査の結果で考えたところ、歯を抜かずに奥歯を後方に移動し、歯列のアーチを調整し配列を行いました。

歯の大きさが大きい箇所にはわずかにやすりがけを行い、ブラックトライアングルという歯の根元に三角の隙間ができるのを防ぎました。

ご希望のマウスピース矯正と、同時進行ができるホワイトニングの併用で、美しい歯並びと白さを手に入れることができます。

Date

患者様の性別
女性
年齢
20代
治療期間
1年2か月
治療費用
770,000円(税込)、ホワイトエッセンスコース118,800円(税込)

矯正治療のドクターコメント

当院は、マウスピース矯正や全てのワイヤー矯正の中からご希望の矯正治療を選べることと、お一人お一人へ詳しい診断結果の説明を行い、どの矯正治療が適正か相談して決めていきます。 一般歯科、小児歯科、矯正歯科、審美治療、予防歯科を兼ね備えており、複数の歯科医院に通院する必要がなく治療をノブデンタルクリニック1か所で受けることができる体制を整えています。