• ワイヤー矯正

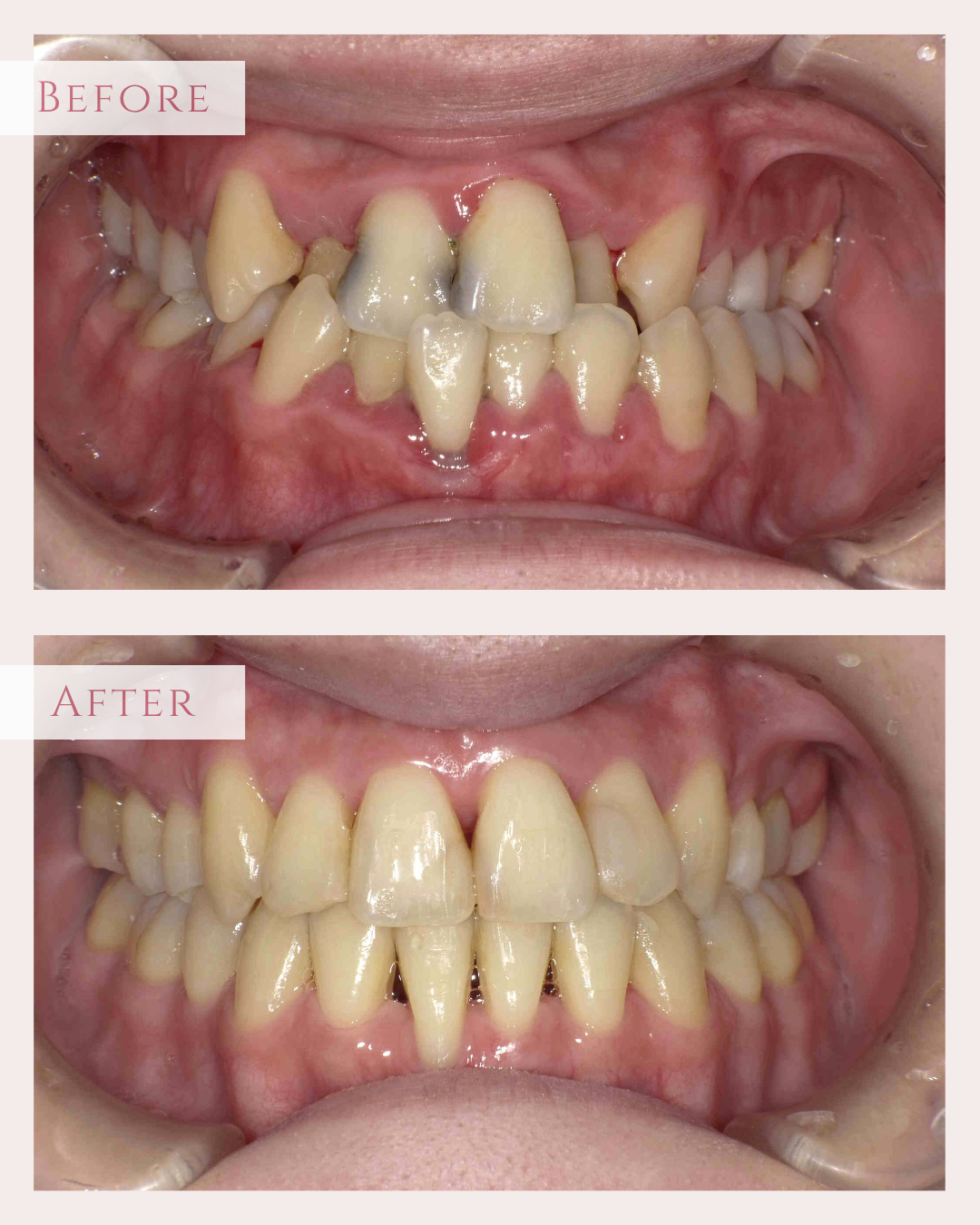
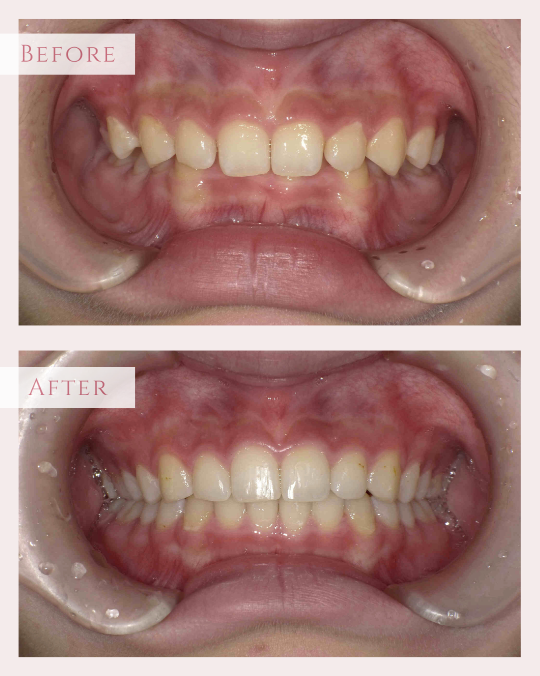
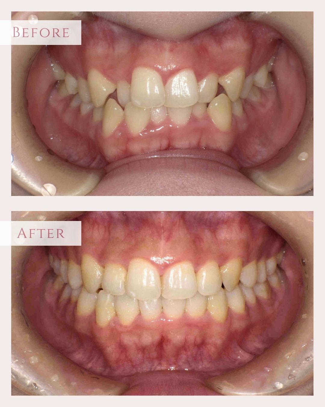
【小児矯正】過蓋咬合と出っ歯

【小児矯正】過蓋咬合と出っ歯
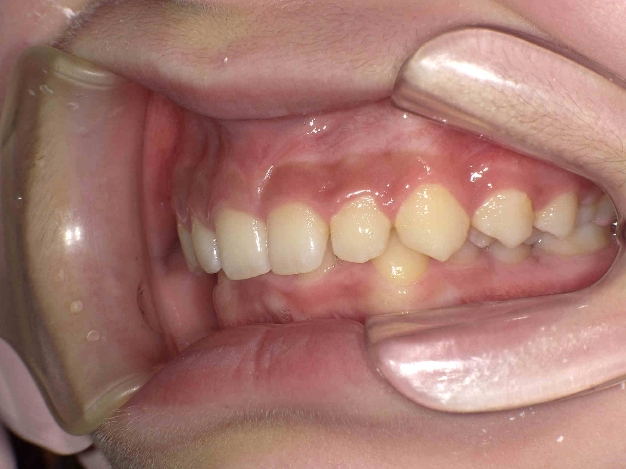
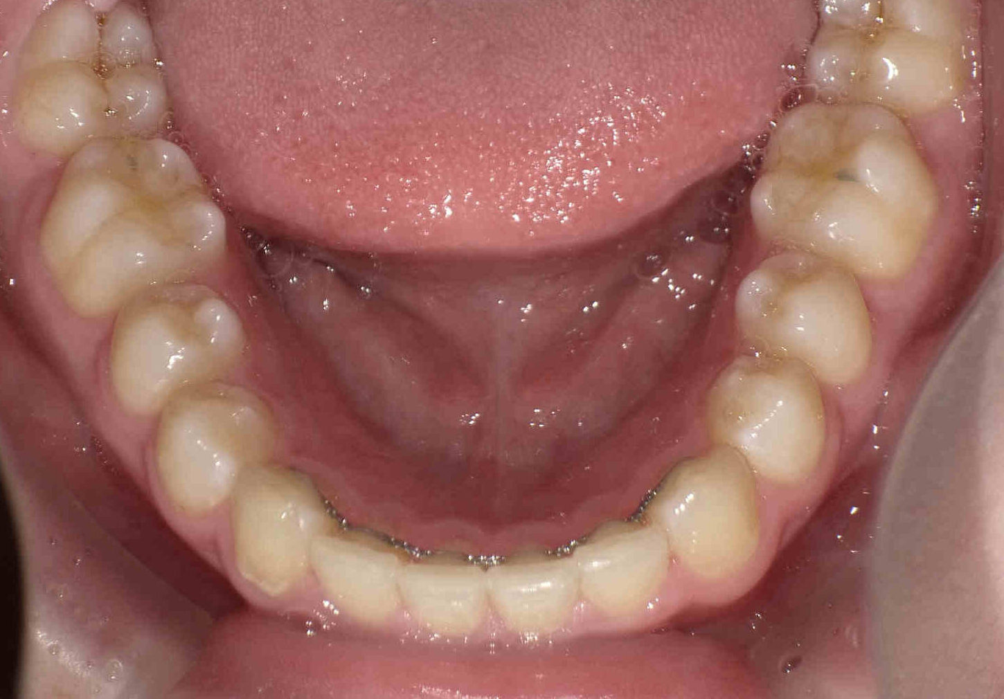
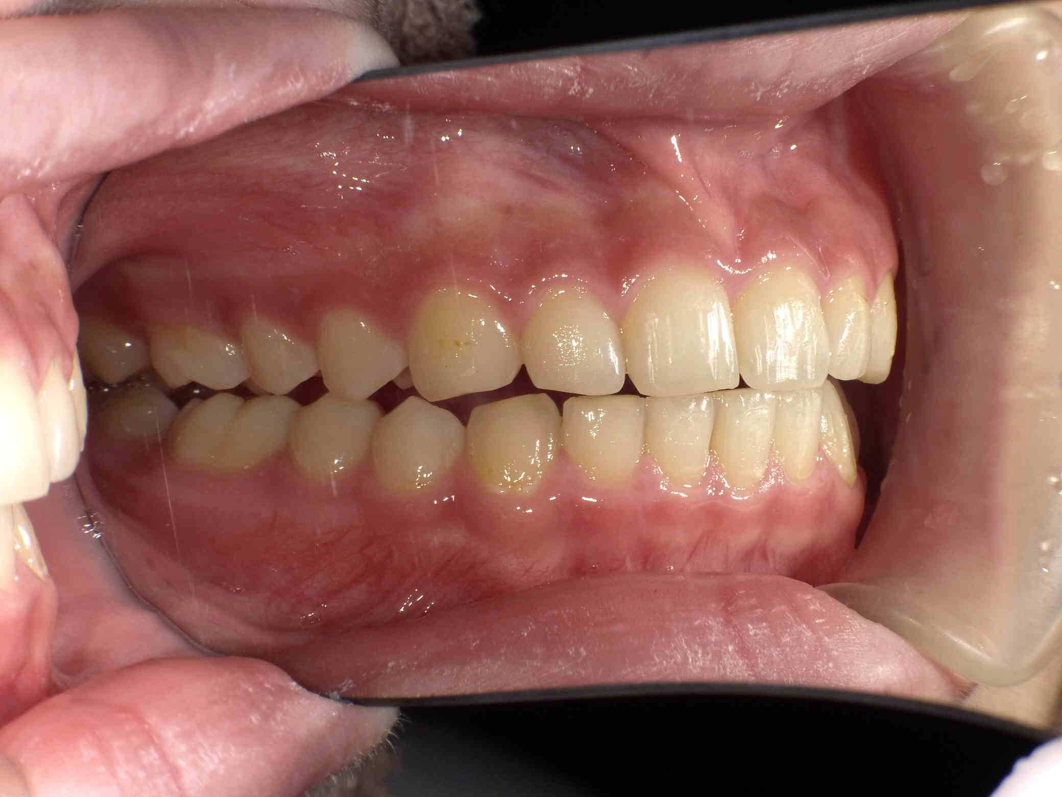
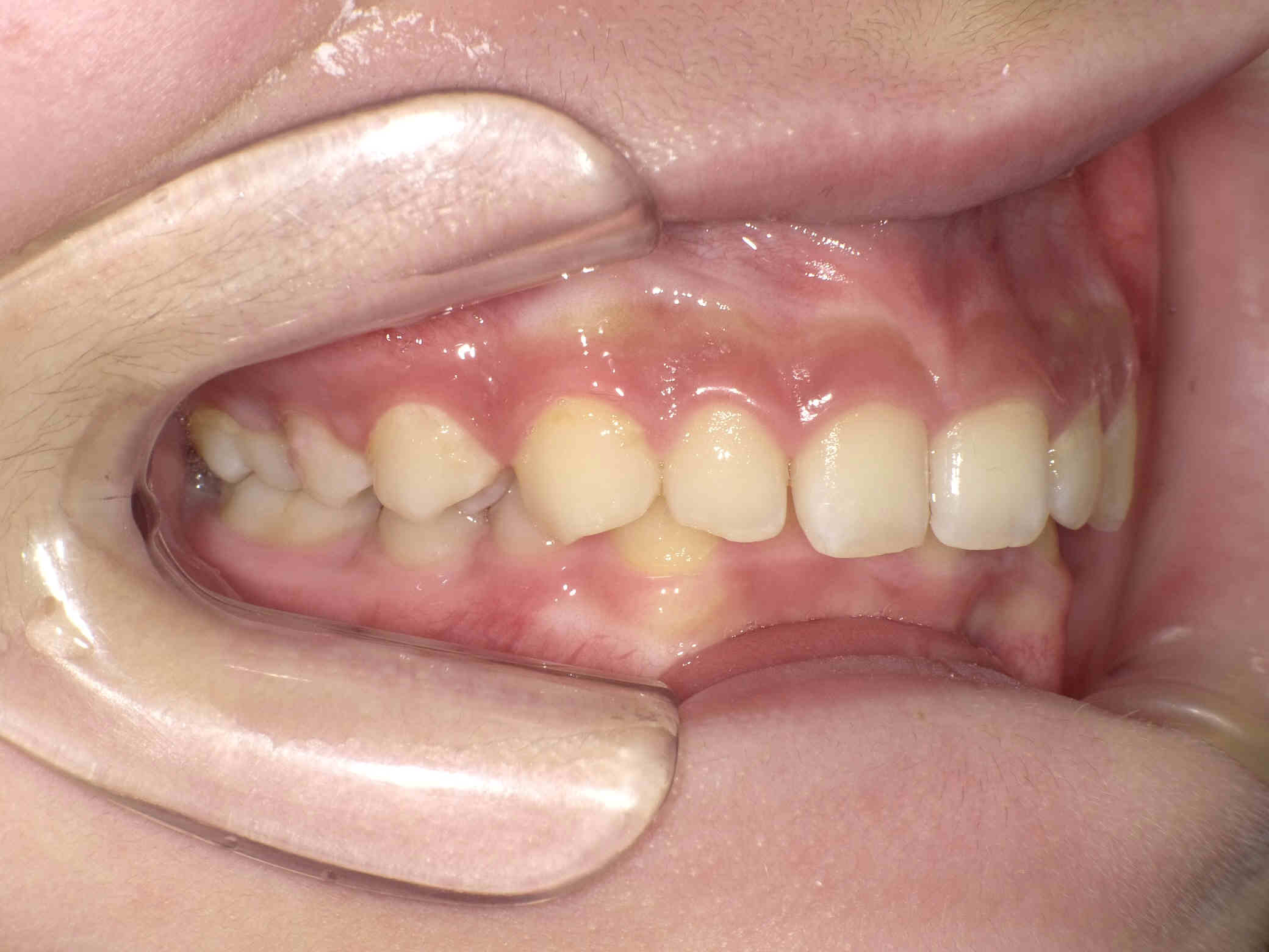
  • 治療前

    右矢印

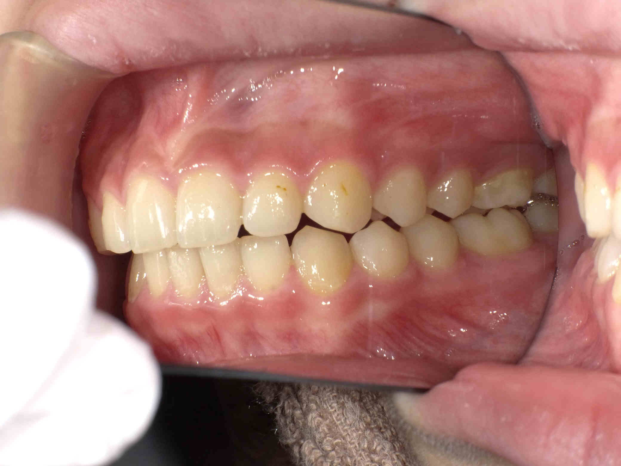
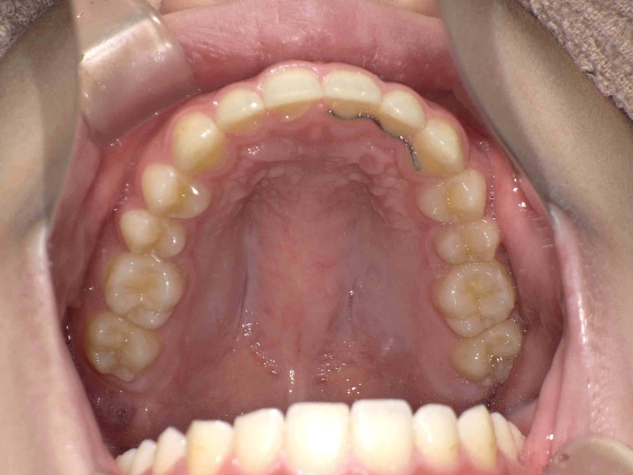
    治療後

  • 右矢印
  • 右矢印
  • 右矢印
  • 右矢印

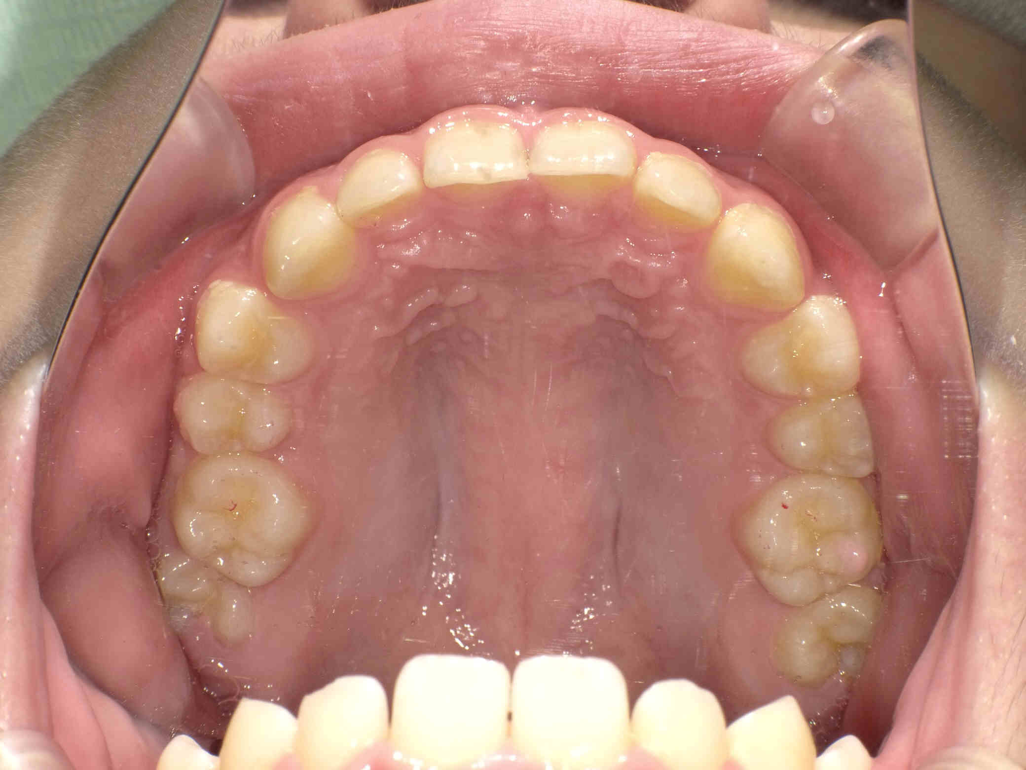
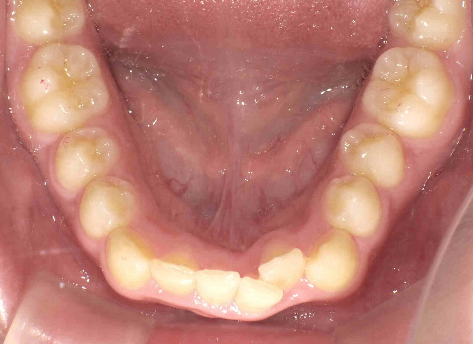
12歳6ヶ月〜スタートです。

やや出っ歯傾向で、噛み合わせが深く
歯並びがデコボコな鋏上咬合(はさみじょうこうごう)という状況でした。

上下の歯がすれ違っている状態で、一部の歯に過度の負担がかかってしまいます。

放置していると、
◇歯が磨きにくく、虫歯や歯周病のリスクが高まる
◆噛み合わせが悪く、顎の関節に負担がかかり顎関節へ影響が出る
◇噛み合う歯がずれているせいで歯が延びてしまい、歯茎を傷つける
◆不正咬合で顔が歪む場合がある

など、様々な影響があります。

今回はご希望のワイヤー矯正で治療を行い、スタートから1年半で美しい歯並びに改善しました。

Date

患者様の性別
女性
年齢
12歳
治療期間
1年6ヵ月
治療費用
605,000円(税込)、5,500円/月々調整料

矯正治療のドクターコメント

小児矯正の選択は、お子様の将来に大きく影響を及ぼす重要な決断です。 お子様の矯正は早期に行うことで、正しく並んだ歯の清掃がしやすく、虫歯や歯周病のリスクを減少させます。 口呼吸や発音の問題、舌の癖などの機能的な問題にも対処できます。 理想のクリニックを見つけるためには、治療中や治療後のケアについても十分に理解しておくことが大切です。 また、クリニック内の雰囲気やスタッフの対応も、ご家族で通いやすく子どもがリラックスして治療を受けられるような、明るく清潔感のある環境が整っていること、スタッフが子どもに優しく接してくれることなどが、安心して通院できるポイントです。