• マウスピース矯正

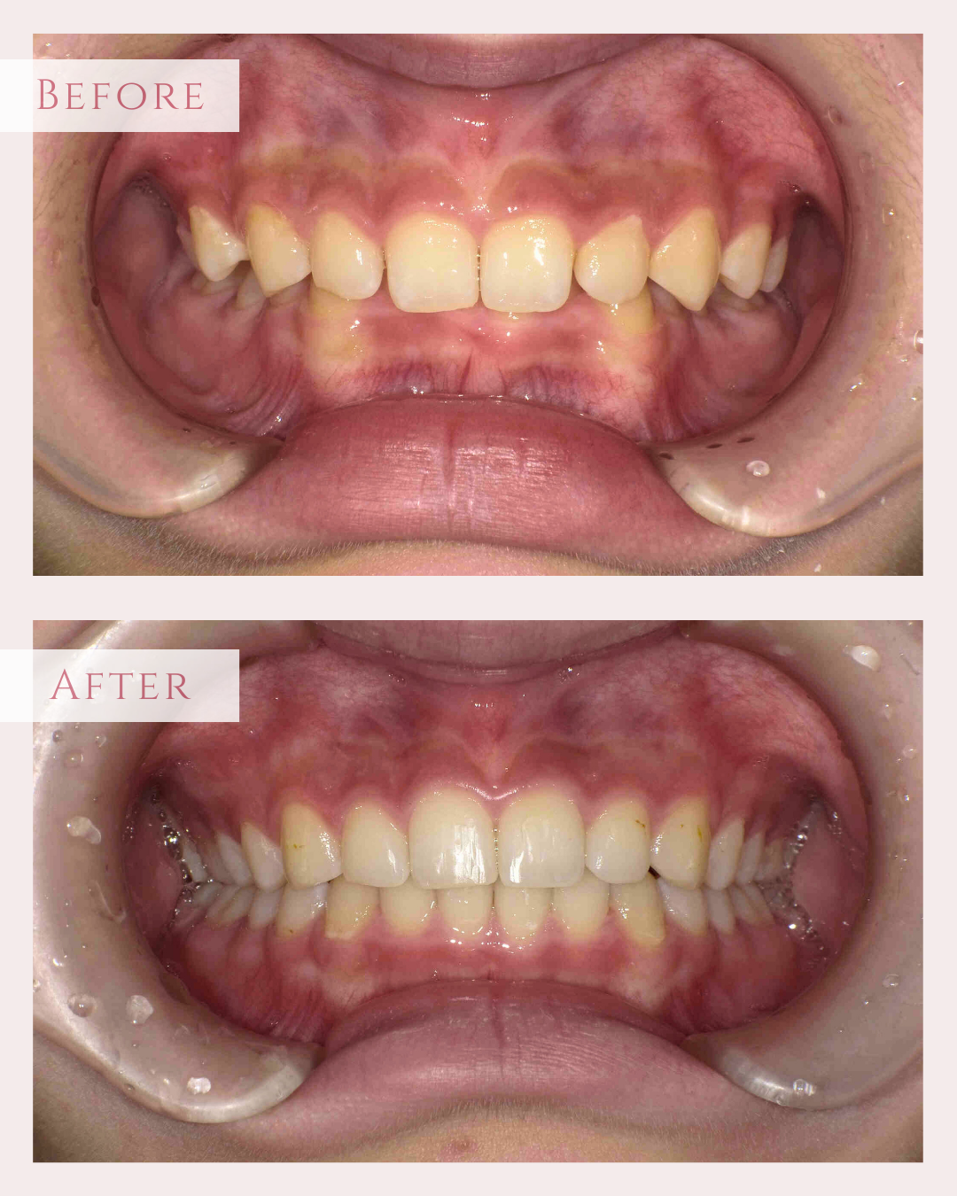
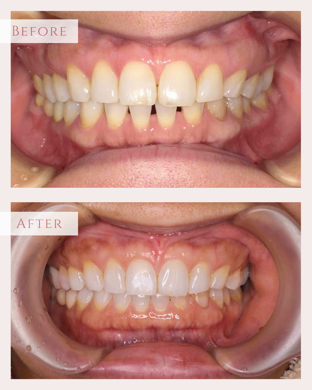
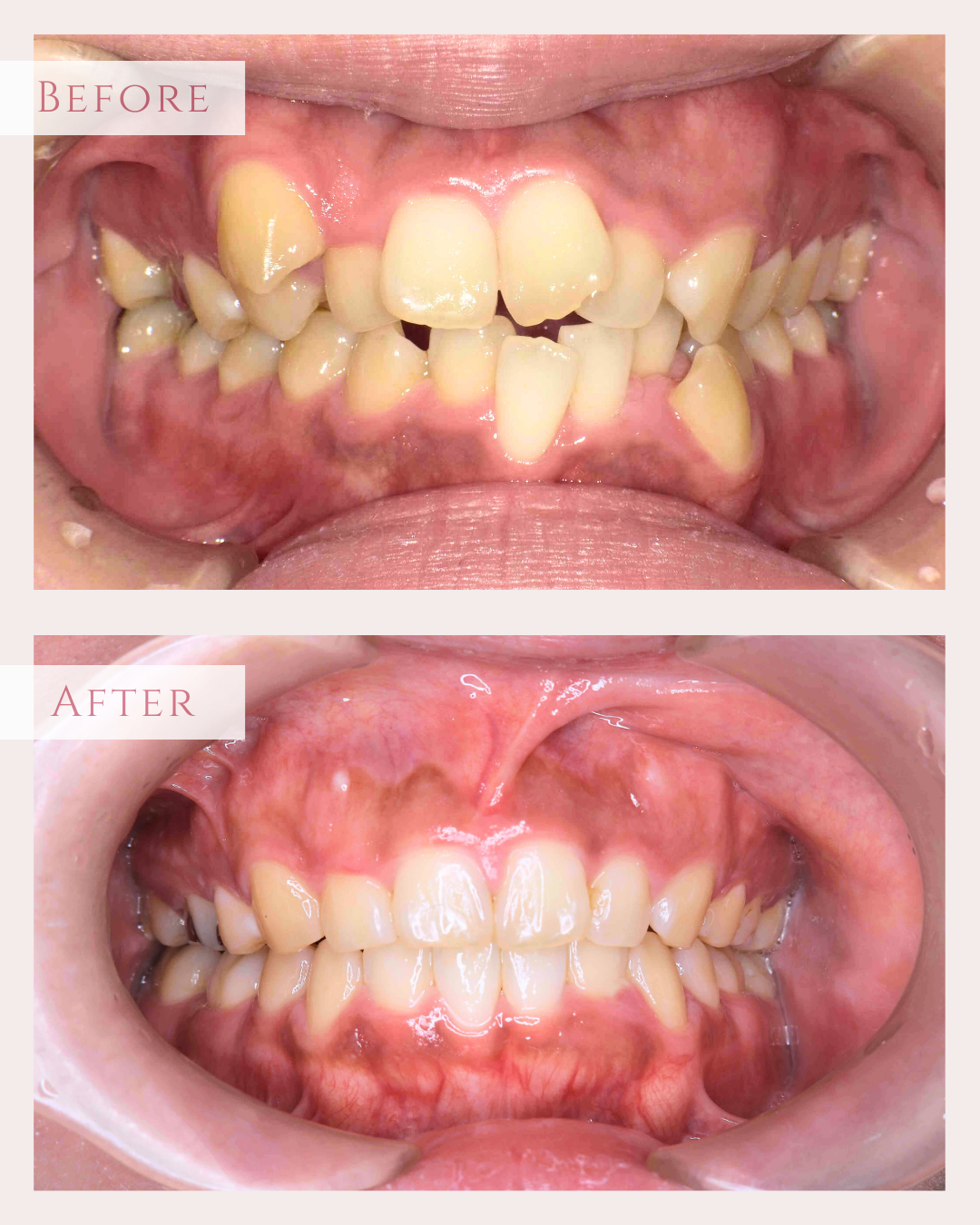
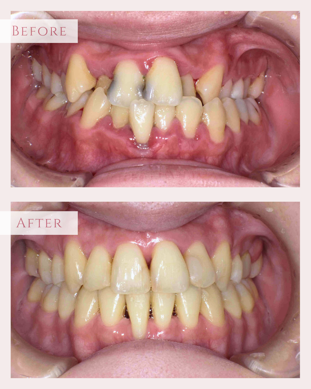
すきっ歯が気になる

すきっ歯が気になる
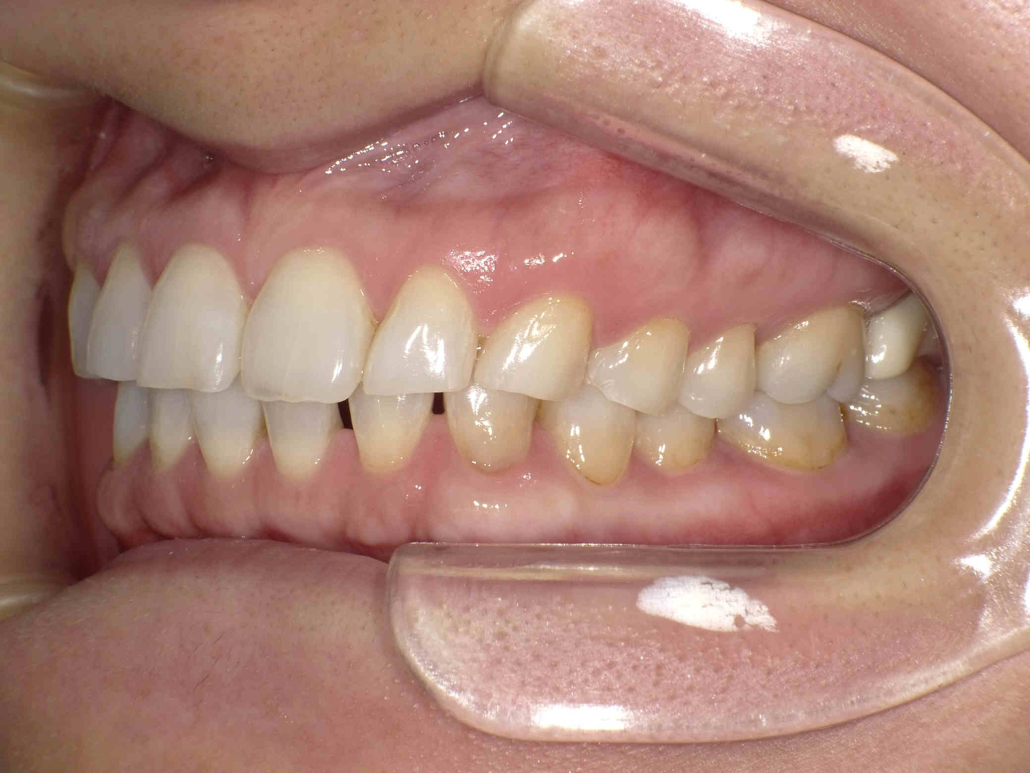
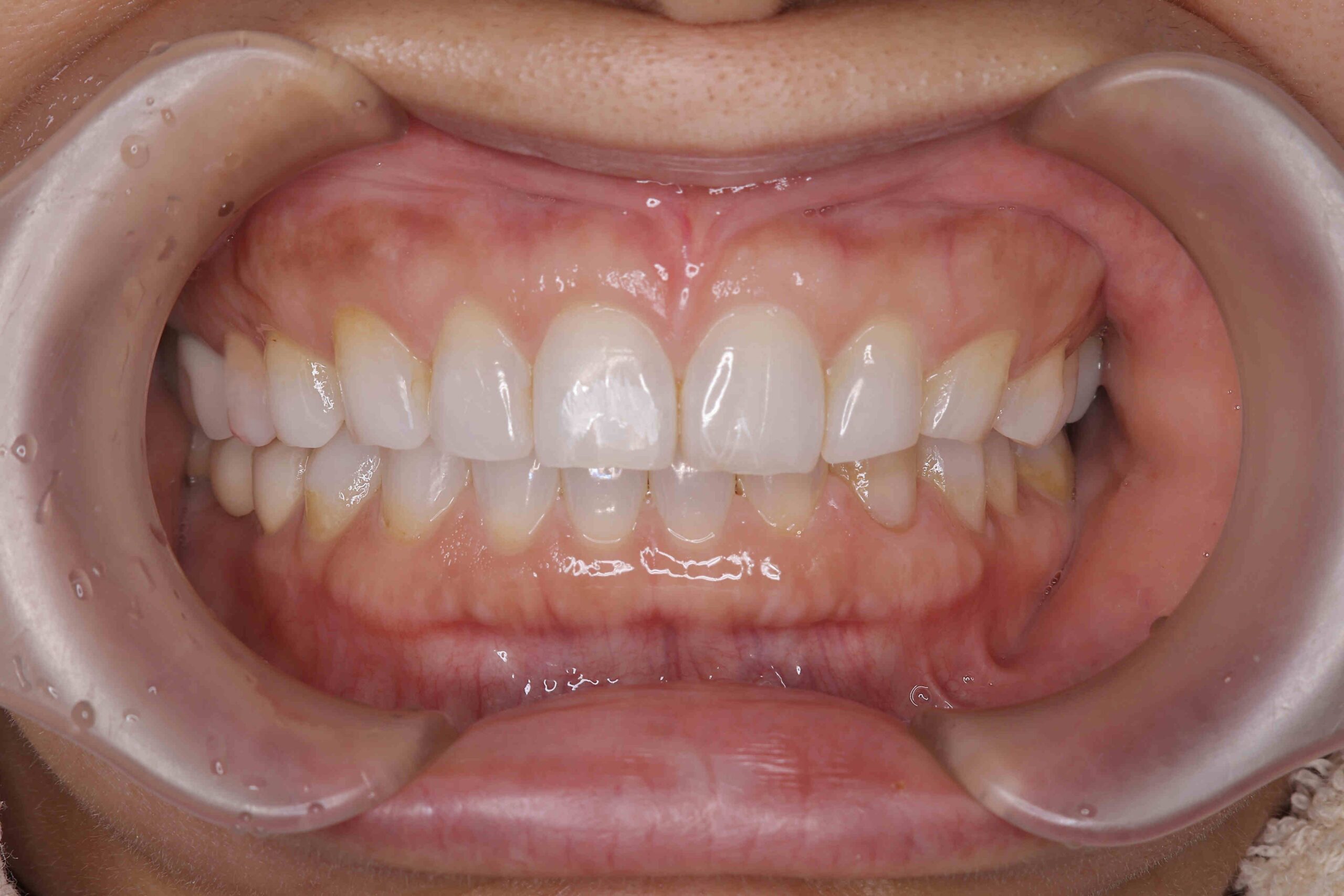
  • 治療前

    右矢印

    治療後

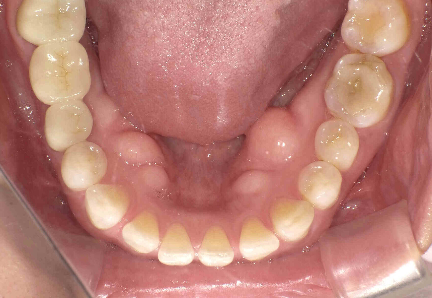
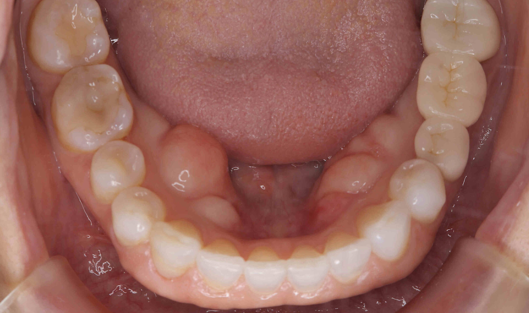
  • 右矢印
  • 右矢印
  • 右矢印
  • 右矢印

治療方針

元々咬む筋力や食いしばり・歯ぎしりが非常に強く、『フレアーアウト』(前歯の歯並びが前方に放射状に倒れていく現象)によって「出っ歯」や「すきっ歯」の状態になっていました。

歯並びの問題だけでなく、顔つきが変わったり、前歯で食べ物を噛むことが難しくなるなど、機能面にも支障をきたします。

今回はご希望のマウスピース矯正で、食いしばりや歯ぎしりによる歯の破折やすり減りを予防しながら、歯と歯の隙間が広がって傾斜した前歯を元の位置に戻しました。

ホワイトニングも同時進行で施術し、白く輝く歯になりました。

元々入っていた臼歯のブリッジは治療せず、そのままの位置で矯正を行うことを希望されたため、正中(上顎と下顎の中心線)を合わせることは難しいですが、美しい歯列と口元へ仕上がりました!

Date

患者様の性別
女性
年齢
40代
治療期間
4年間(ご都合により、一時矯正休止時期があたったため)
治療費用
88万円(税込)

矯正治療のドクターコメント

咬む筋力や食いしばり・歯ぎしりが強くい方は、放置していると歯にダメージが加わったり、計画通りに歯が動かず矯正治療が遅れる可能性があります。 ストレスを軽減し、意識的に気を付けることが大切ですが、加えて咬筋ボツリヌス注射で過剰な筋力を緩和することも有効です。   また矯正治療で美しい歯列の口元へ仕上がったと同時に、咬む筋力が強く食いしばりや歯ぎしりをしやすい方は歯列が後戻りしてしまう可能性があるため、矯正後も意識し気を付けて生活する必要があります。アフターケアでメンテナンスも行っていくため、安心して通っていただくことができます。