• ワイヤー矯正

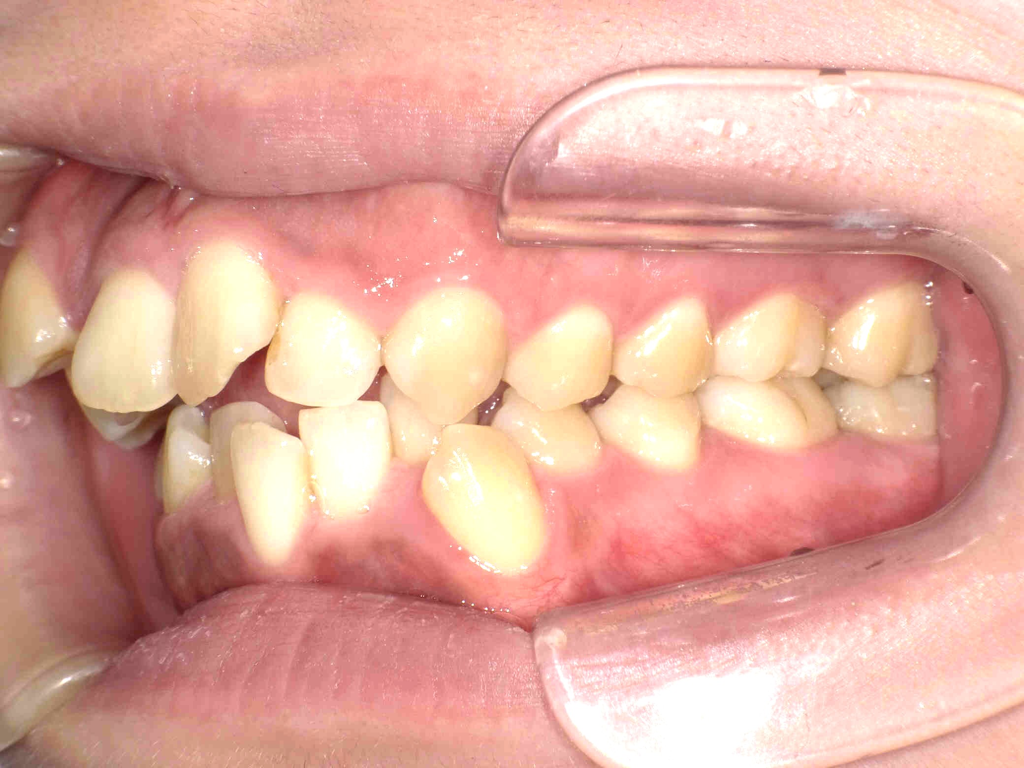
歯のデコボコが気になる。前歯で咬み切れない。

歯のデコボコが気になる。前歯で咬み切れない。
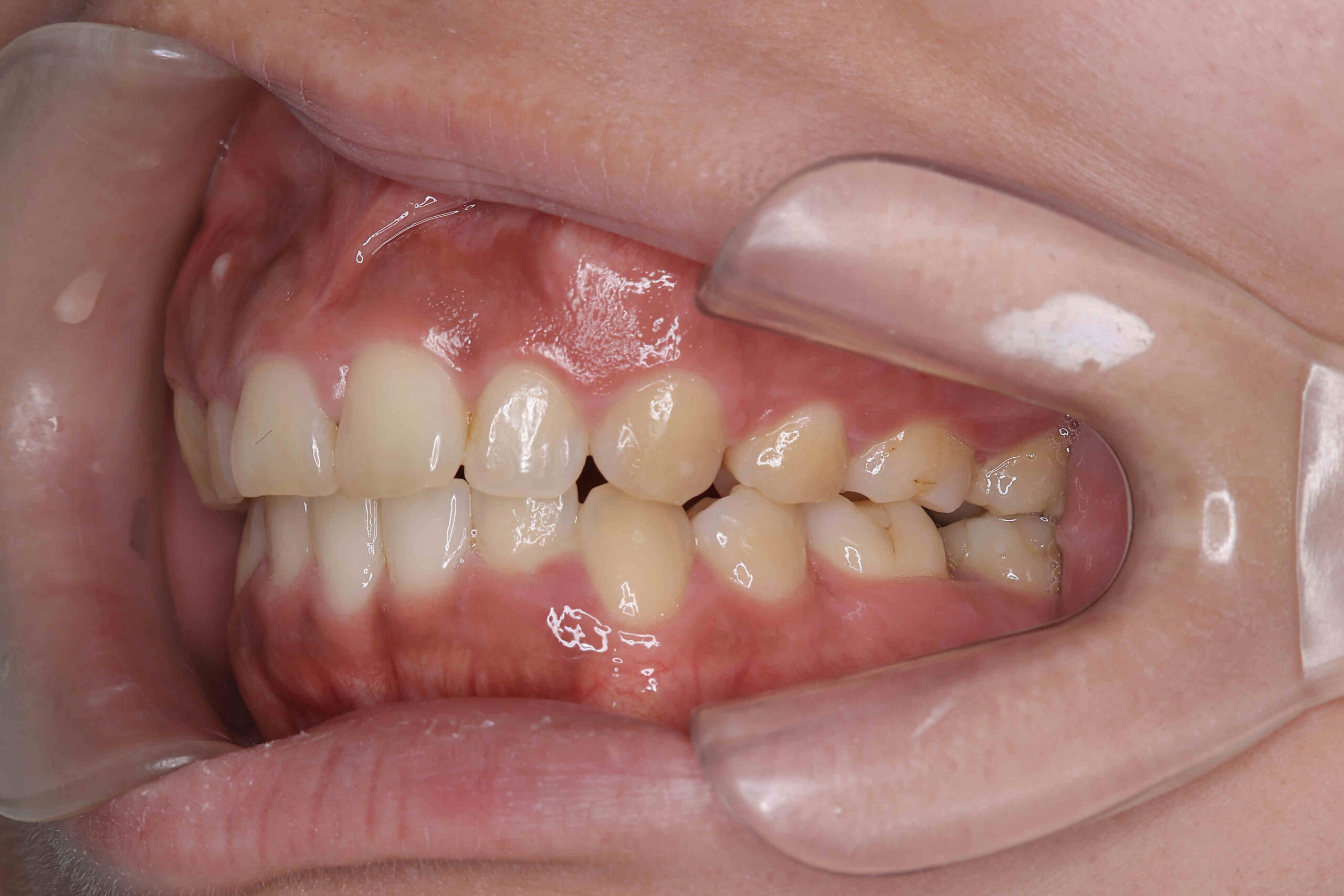
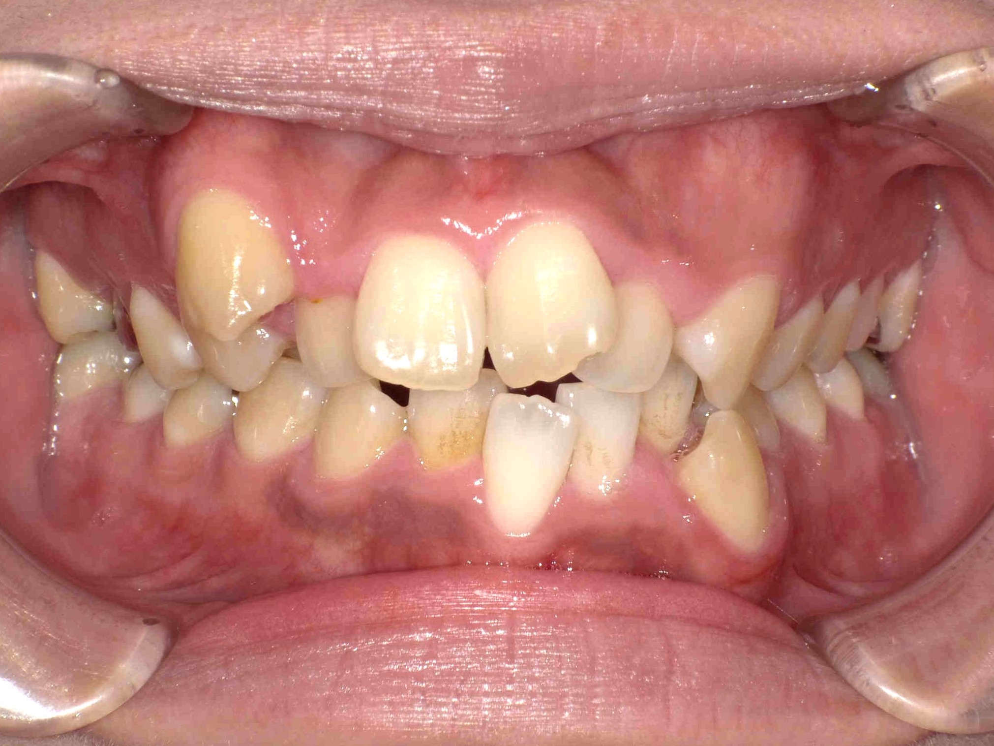
  • 治療前

    右矢印

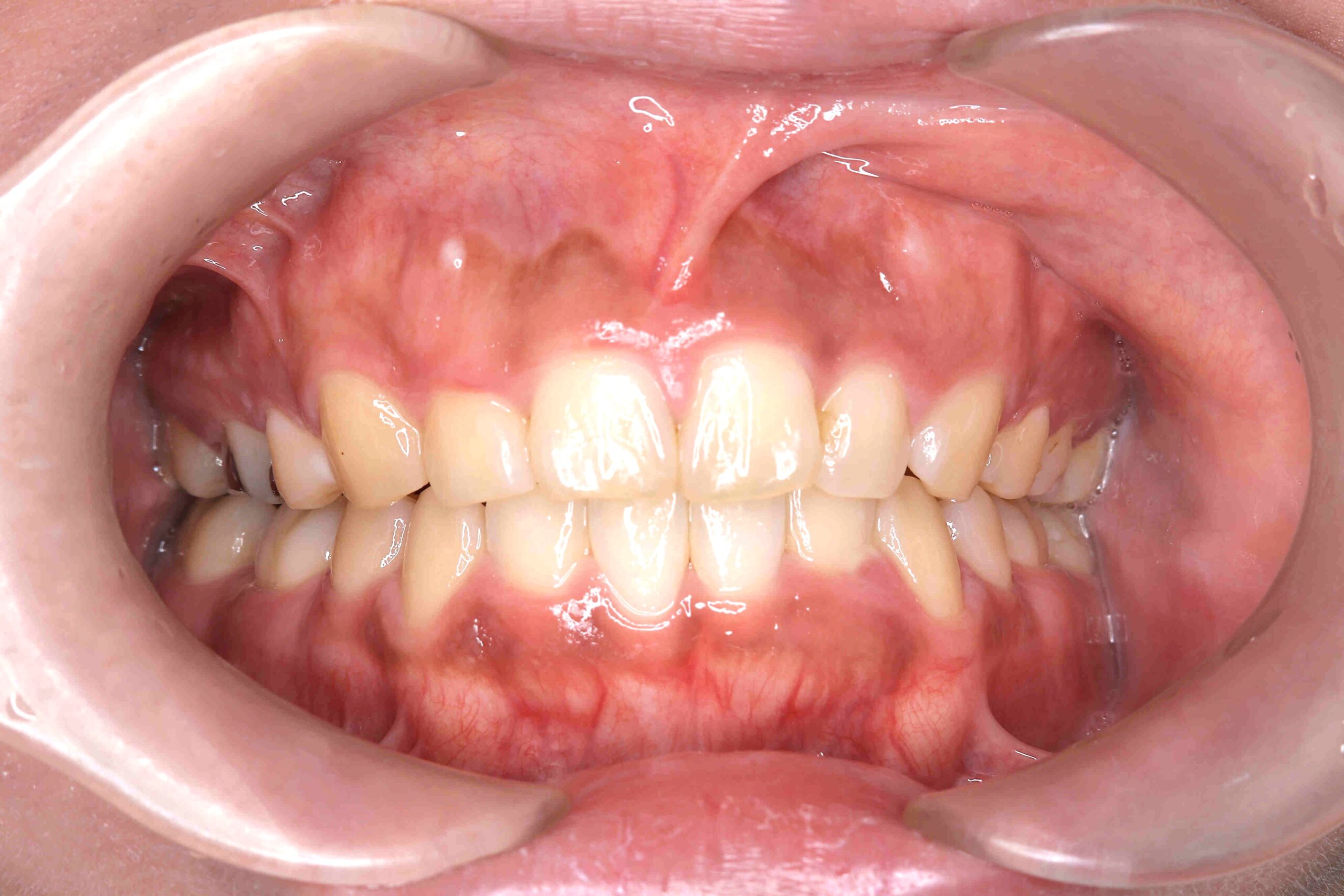
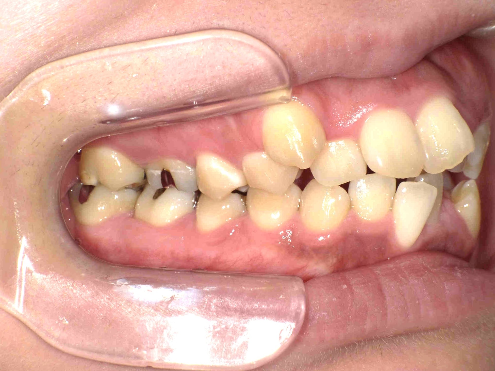
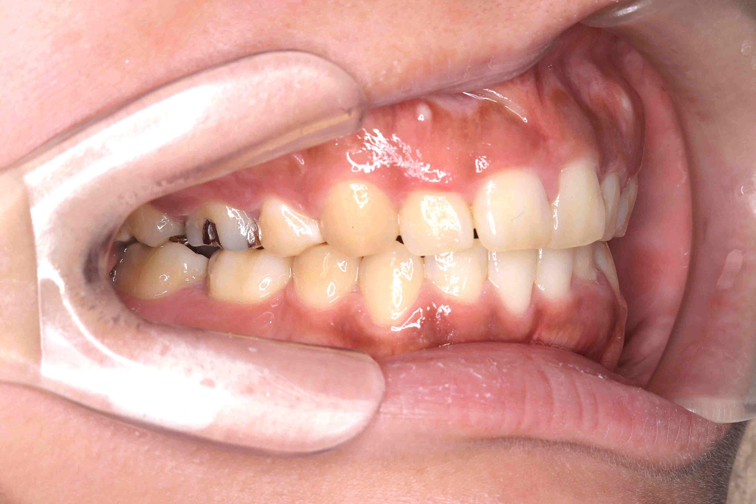
    治療後

  • 右矢印
  • 右矢印
  • 右矢印
  • 右矢印

治療方針

・歯のデコボコが気になる
・前歯で咬み切れない
・気づくと口を開けている
・歯ぎしりをする癖がある

というお悩みでした。

上下ともに歯が大きく、それに対し歯並びや歯槽骨の幅が小さいため、出っ歯や大きなガタガタにつながっていました。

上下計4本を抜歯し、ご希望の表側ワイヤー矯正を装着し約3年で正しい噛み合わせと、美しい横顔へ改善しました!

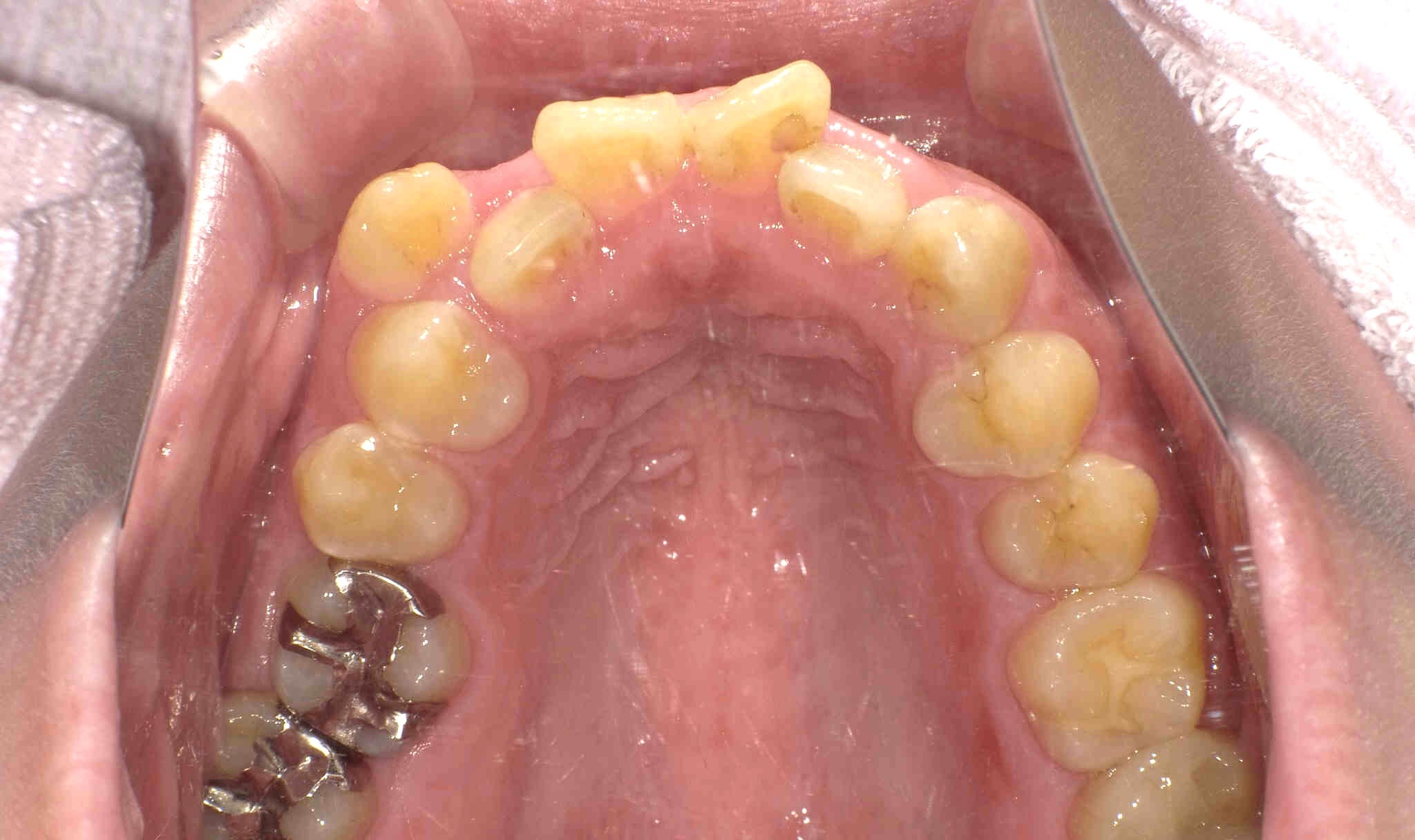
今回は、アンカーインプラントという小さなスクリュー(ネジ)を歯ぐきの骨の部分に埋入し、歯を動かす時の固定源として用いて上下表側ワイヤー矯正を行いました。

アンカーインプラントは本人の協力無しに、24時間奥歯が前へ移動することを完全阻止し、歯を抜いたスペースを歯列を後ろに下げることに無駄なく使え、効率的に歯を動かすことができます。

Date

患者様の性別
女性
年齢
20代
治療期間
2年半
治療費用
605,000円(税込)、5,500円/月々調整料

矯正治療のドクターコメント

インプラントというと、歯を失った方が欠損部分に埋め込むインプラントをイメージする方が多いと思いますが、矯正治療で使用するものは全く別物になります。トラブルもほぼ無く、矯正終了後は取り外しますので安心して治療に専念できます。 従来型のやり方に比べ、口元の突出感が大きく改善され、素敵な横顔の変化がみられました!