-
マウスピース矯正
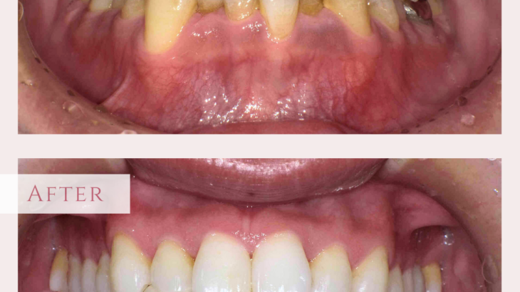
すきっ歯が気になる
治療方針 元々咬む筋力や食いしばり・歯ぎしりが非常に強く、『フレアーアウト』(前歯の歯並びが前方に放射状に倒れていく現象)によって「出っ歯」や「すきっ歯」の状態になっていました。 歯並びの問題だけでな […]

マウスピース矯正
治療方針 元々咬む筋力や食いしばり・歯ぎしりが非常に強く、『フレアーアウト』(前歯の歯並びが前方に放射状に倒れていく現象)によって「出っ歯」や「すきっ歯」の状態になっていました。 歯並びの問題だけでな […]
マウスピース矯正
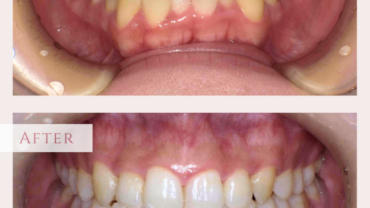
上下共に歯の大きさがやや大きく、それに対し歯並びの幅がやや小さいため不調和がありガタガタに繋がっていました。 今回はキレイな横顔やEラインのバランスも含めて、精密検査の結果で考えたところ、歯を抜かずに […]
マウスピース矯正
治療方針 ・歯並びのデコボコが気になる。・歯を抜かずにマウスピース矯正をしたい というご希望でした。 初めにお口全体のデータを採取し、日本矯正歯科学会認定医のもとで精密検査を行い、データ分析をします。 […]
マウスピース矯正
治療内容 左上6番目の歯根に亀裂があり、初診にご来院の段階で歯を残すことが難しい状況でした。院長である水柿がインプラント治療を、日本矯正歯科学会認定医のDr.芝田の診断と治療計画に基づいて矯正治療を、 […]
マウスピース矯正
治療方針 上下共にスペースが少ないため抜歯を伴うケースも多いですが、当院では非抜歯にてマウスピース矯正を行いました。 抜歯をすることで、口元が引っ込みすぎてかえって横顔のバランスが悪くなってしまうこと […]