-
ワイヤー矯正
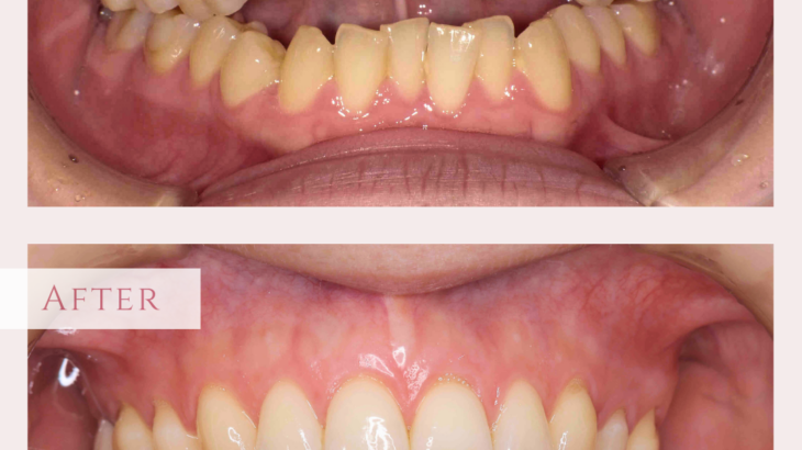
【小児矯正】過蓋咬合と出っ歯
12歳6ヶ月〜スタートです。 やや出っ歯傾向で、噛み合わせが深く歯並びがデコボコな鋏上咬合(はさみじょうこうごう)という状況でした。 上下の歯がすれ違っている状態で、一部の歯に過度の負担がかかってしま […]

ワイヤー矯正
12歳6ヶ月〜スタートです。 やや出っ歯傾向で、噛み合わせが深く歯並びがデコボコな鋏上咬合(はさみじょうこうごう)という状況でした。 上下の歯がすれ違っている状態で、一部の歯に過度の負担がかかってしま […]
ワイヤー矯正
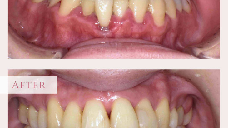
歯槽骨(歯を支えている骨)が狭く、デコボコや交叉咬合(部分的に下の歯が前に出ている)がありました。 上2本、下2本の計4本を抜いて、前歯のデコボコと口元を後方に下げることを提案させてもらいました。 初 […]
ワイヤー矯正
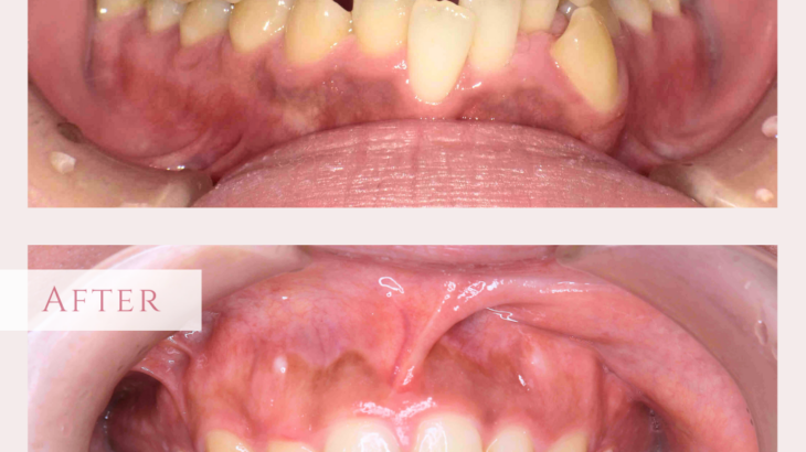
治療方針 上下の前歯のスペース不足と「開口(かいこう)/オープンバイト」の改善には、永久歯を並べるスペースを確保することが必要です。そのために、第1小臼歯を上下左右で計4本抜かなくてはいけないことをご […]
ワイヤー矯正
治療方針 歯の大きさと歯列の大きさの不調和による、出っ歯と叢生(歯のデコボコ)を治すために、上下の小臼歯を4本抜歯し、表側ワイヤー矯正(ラビアル)を開始しました。 また、不正な歯並びで長年生活していた […]
ワイヤー矯正
治療方針 上下共にスペースが少ないため抜歯を伴うケースも多いですが、当院では非抜歯にてマウスピース矯正を行いました。 抜歯をすることで、口元が引っ込みすぎてかえって横顔のバランスが悪くなってしまうこと […]