-
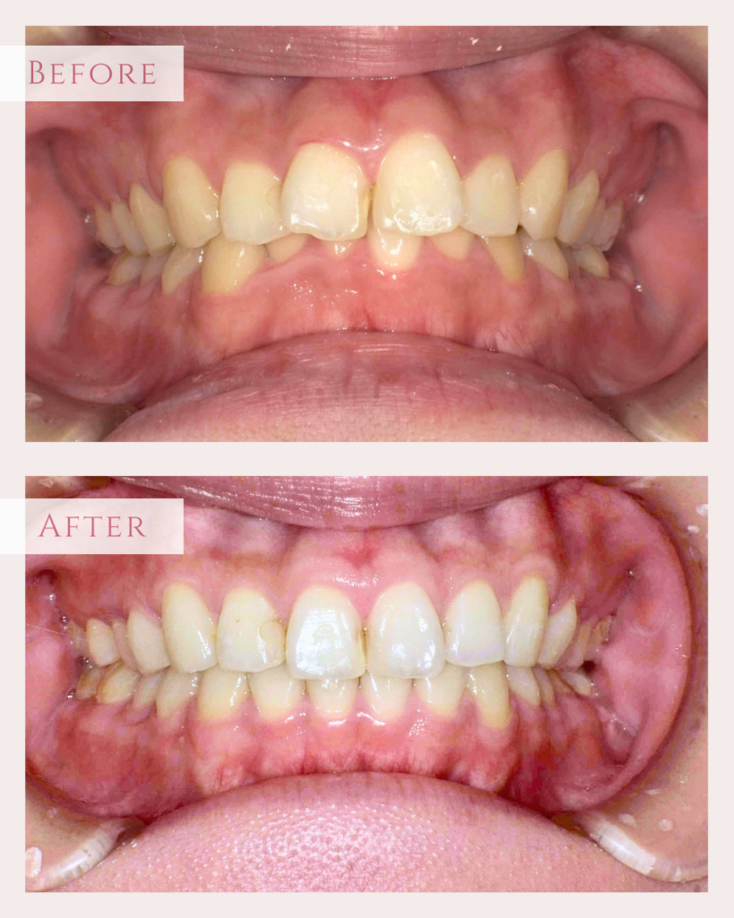
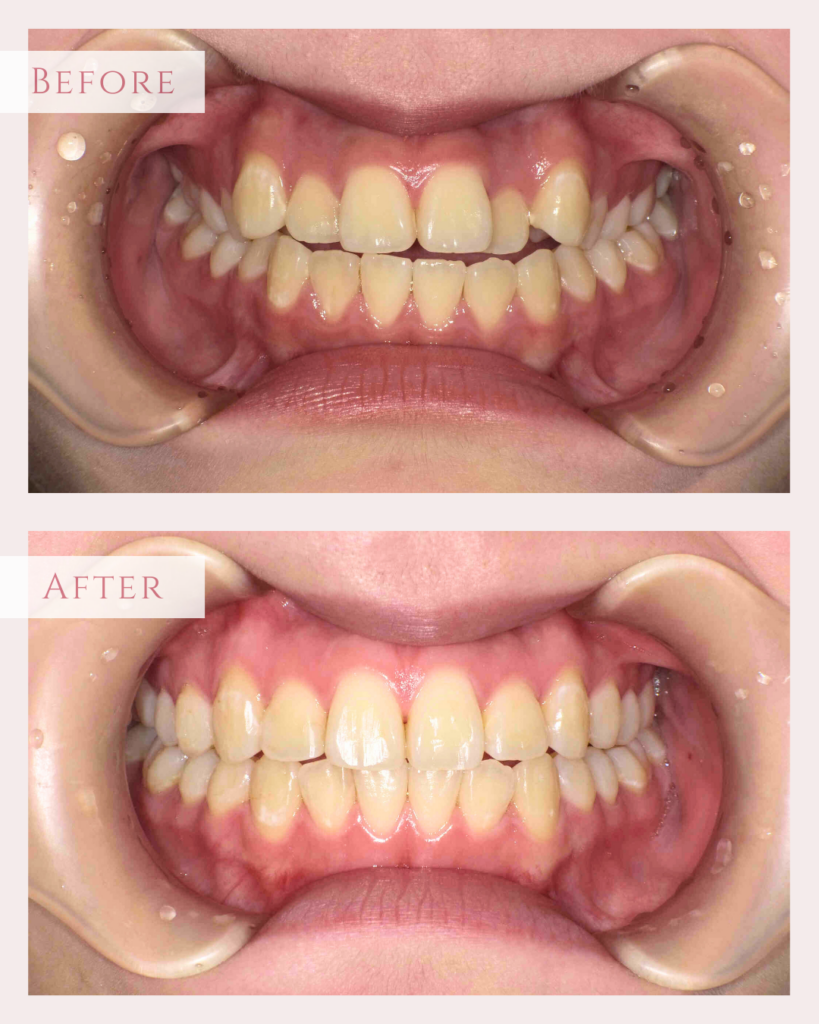
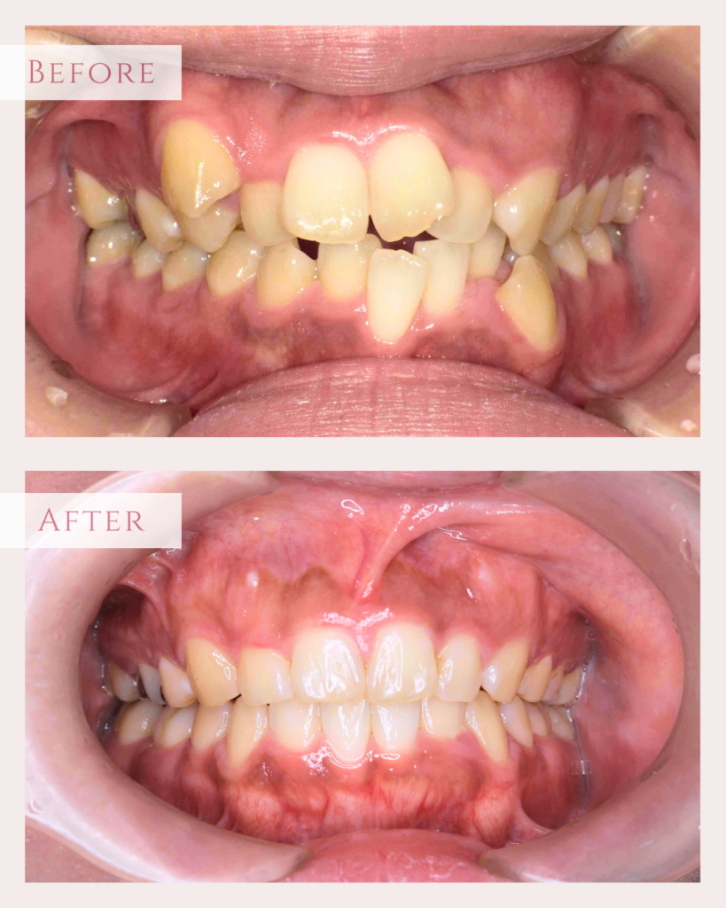
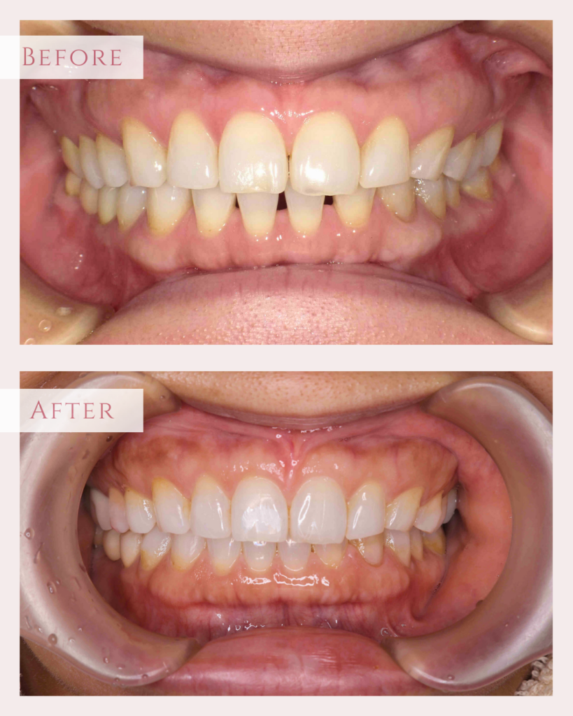
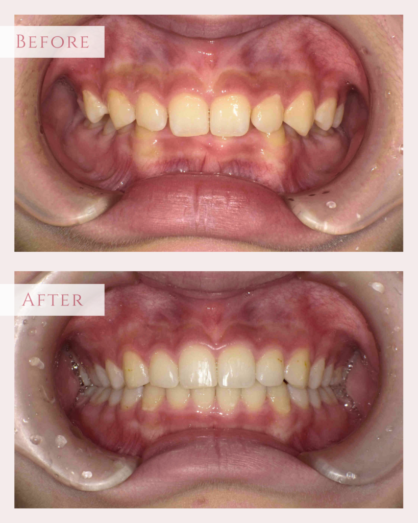
ワイヤー矯正
ABOUT US札幌ノブデンタル矯正クリニックについて

ABOUT US札幌ノブデンタル矯正クリニックについて
笑顔のために、一貫したケアを。
札幌ノブデンタル矯正クリニックでは、矯正治療だけでなく、虫歯や歯周病治療、抜歯まで一貫してサポートします。すべてのケアを1つのクリニックで完結できる安心感を提供します。
さらに、定期的なチェックとアフターフォローに力を入れています。治療後の後戻りを防ぐため、LINEやメールでフォローをおこないし、やりっぱなしにしないサポート体制を整えています。













